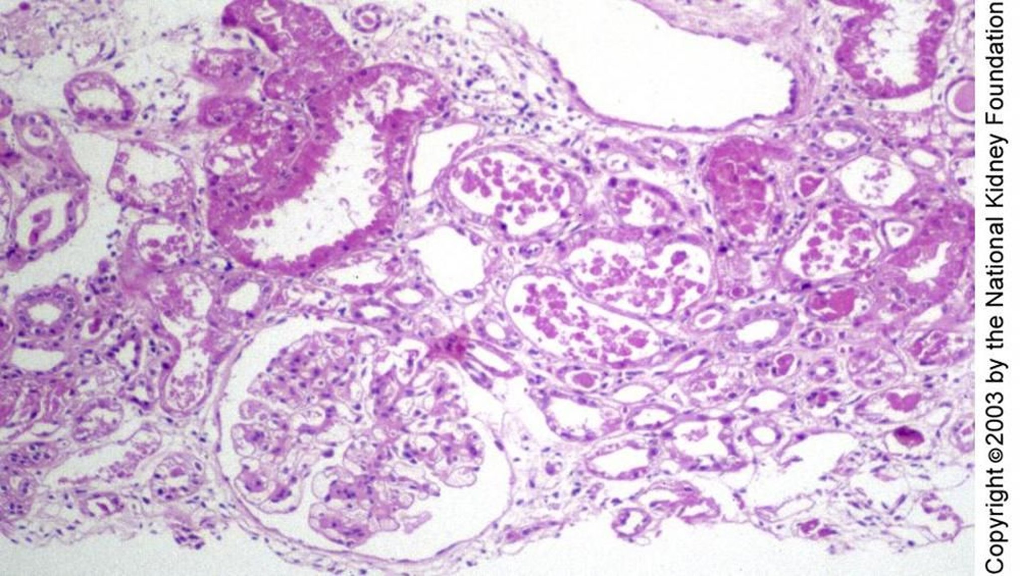
Necrosis tubular aguda
La lesión tubular en la necrosis tubular aguda puede manifestarse histológicamente como epitelio tubular aplanado en vías de regeneración sin necrosis, como se ve a la derecha del glomérulo, vacuolas y degeneración celular individual, como en la parte superior izquierda, o necrosis franca, como en el centro de la imagen (tinción de ácido peryódico de Schiff, ×100).
Image provided by Agnes Fogo, MD, and the American Journal of Kidney Diseases' Atlas of Renal Pathology (véase www.ajkd.org).
En estos temas
