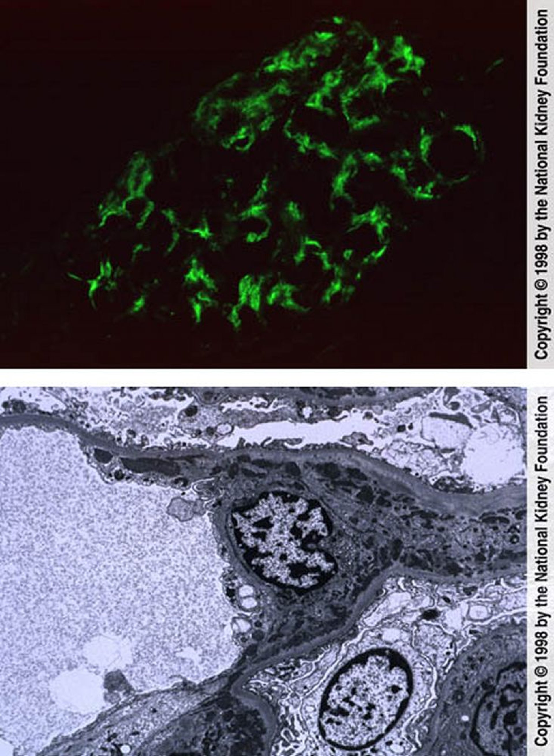
Nefritis lúpica: proliferativa mesangial (clase II)
La imagen superior muestra el depósito mesangial de IgM (inmunofluorescencia con anti-IgM, aumento original ×400). En la imagen inferior, se observan depósitos de complejos inmunes mesangiales densos y agregados reticulares dentro del citoplasma de las células endoteliales en la microscopia electrónica de transmisión (×8000).
Image provided by Agnes Fogo, MD, and the American Journal of Kidney Diseases' Atlas of Renal Pathology (véase www.ajkd.org).
En estos temas
