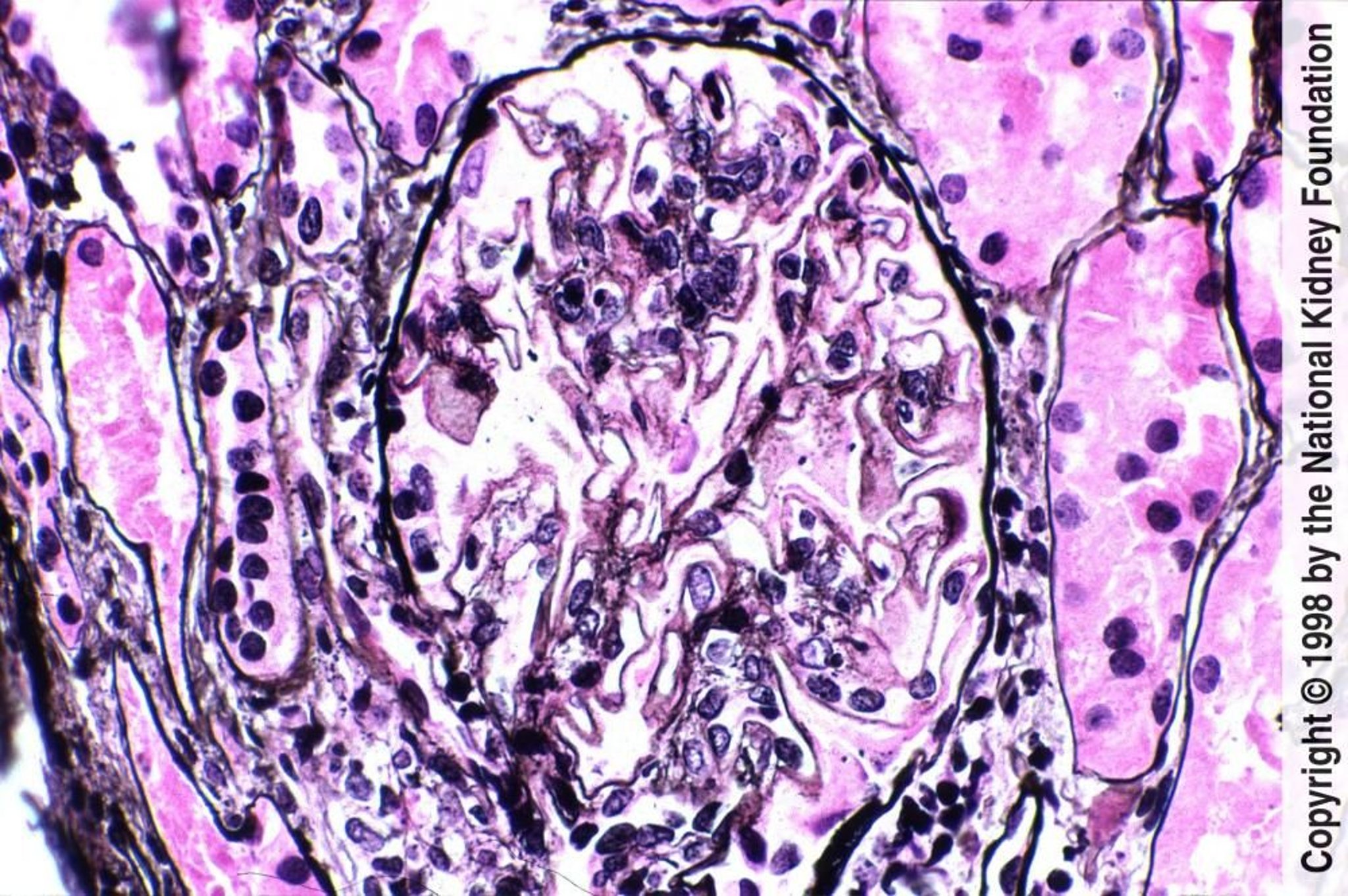
Nefritis lúpica: membranosa (clase V)
La presencia generalizada de soluciones de continuidad, las espigas pequeñas y la expansión mesangial leve con pequeñas áreas de coloración rosada indican depósitos mesangiales de complejos inmunes (tinción de plata de Jones, ×400).
Image provided by Agnes Fogo, MD, and the American Journal of Kidney Diseases' Atlas of Renal Pathology (véase www.ajkd.org).
En estos temas
