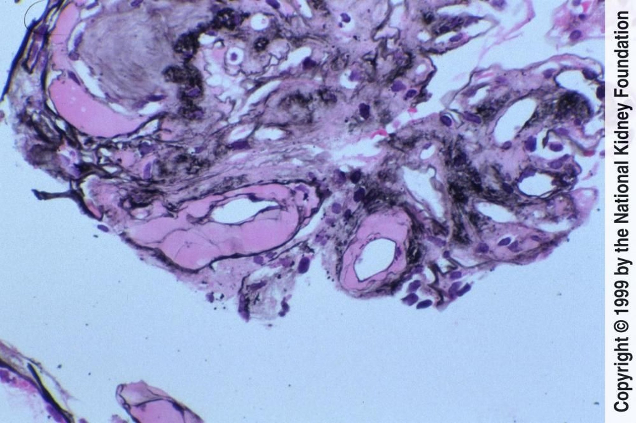
Nefropatía diabética (hialinosis)
Hialinosis tanto de la arteriola aferente como de la eferente.
Image provided by Agnes Fogo, MD, and the American Journal of Kidney Diseases' Atlas of Renal Pathology (véase www.ajkd.org).
En estos temas
Hialinosis tanto de la arteriola aferente como de la eferente.
Image provided by Agnes Fogo, MD, and the American Journal of Kidney Diseases' Atlas of Renal Pathology (véase www.ajkd.org).