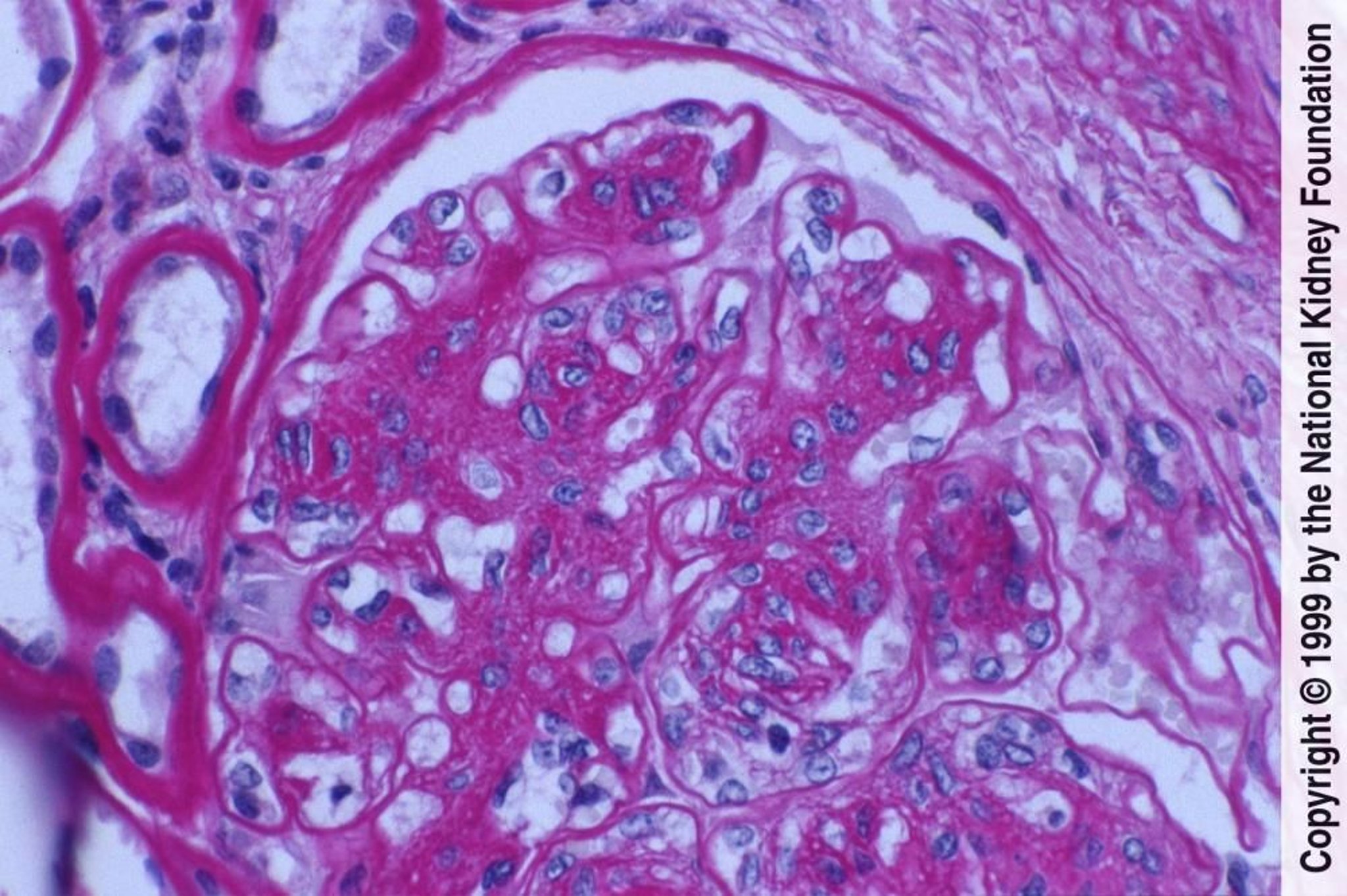
Nefropatía diabética (proliferación de células mesangiales y expansión de la matriz)
La proliferación de células mesangiales y la expansión de la matriz con daño endotelial se manifiestan aquí como engrosamiento de las membranas basales glomerulares sin depósitos evidentes de inmunocomplejos (tinción de ácido peryódico de Schiff, ×400).
Image provided by Agnes Fogo, MD, and the American Journal of Kidney Diseases' Atlas of Renal Pathology (véase www.ajkd.org).
En estos temas
