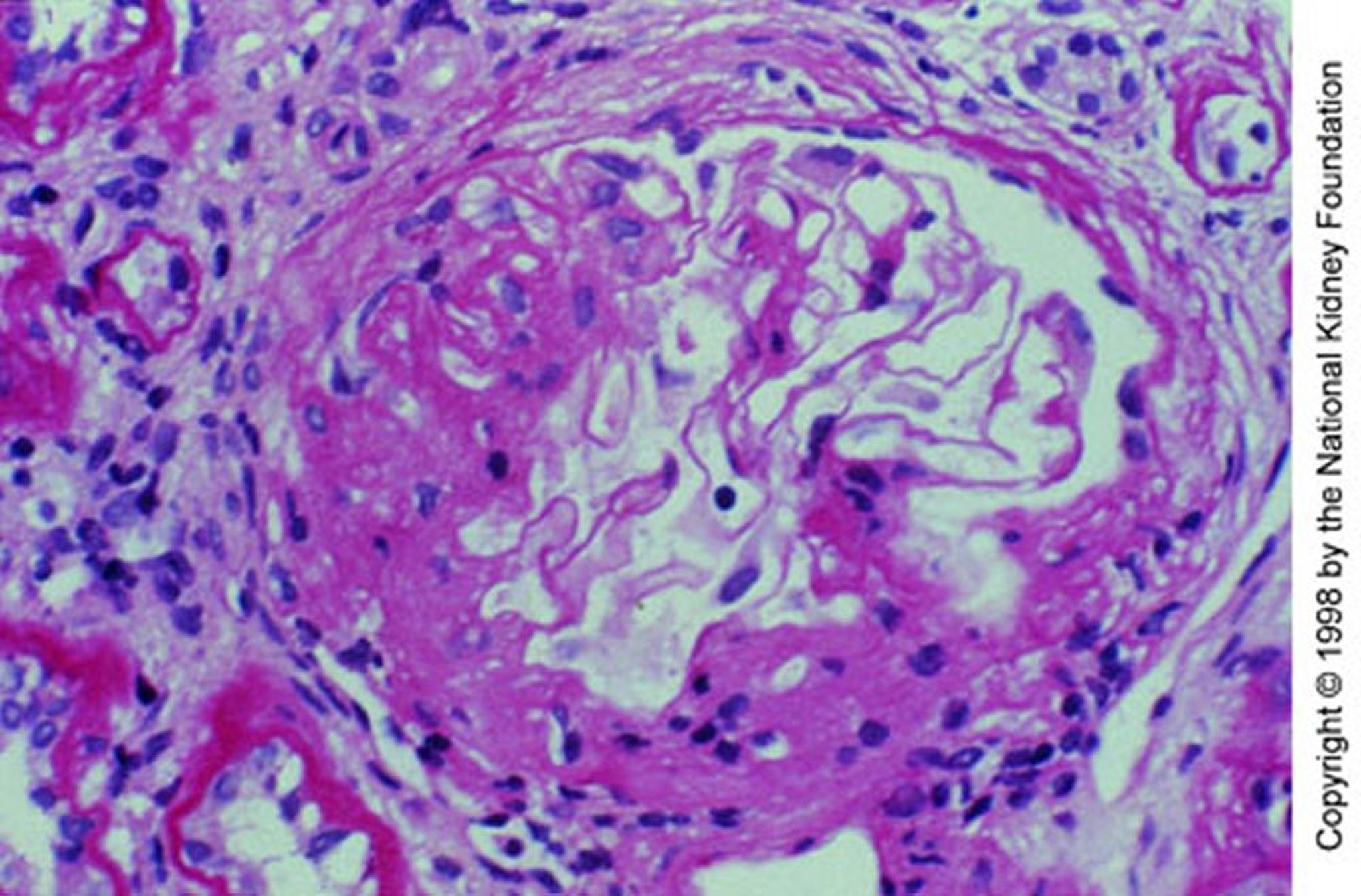
Nefropatía por IgA (expansión mesangial)
Expansión mesangial con esclerosis segmentaria (tinción con ácido peryódico de Schiff, ×200).
Image provided by Agnes Fogo, MD, and the American Journal of Kidney Diseases' Atlas of Renal Pathology (véase www.ajkd.org).
En estos temas
