Neumonía severa
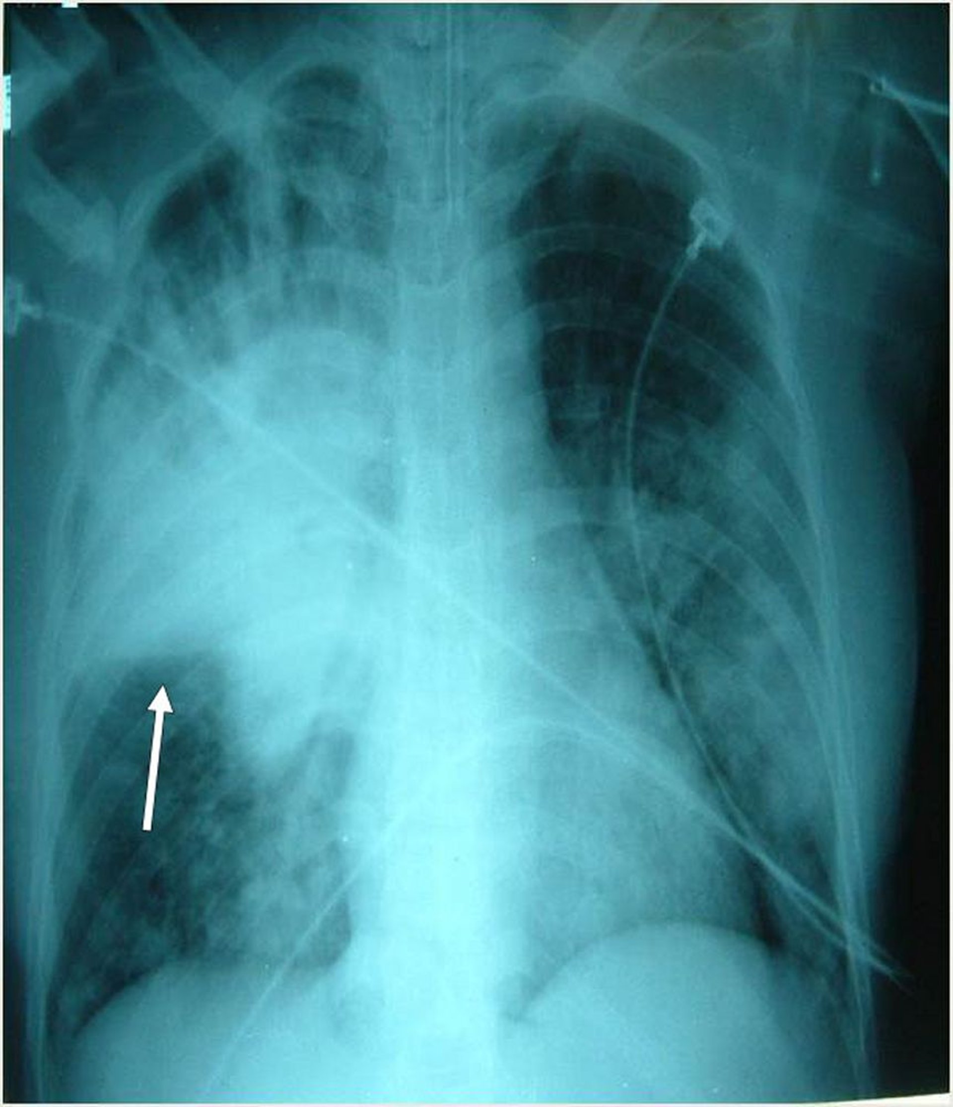
Este paciente intubado tiene múltiples infiltrados bilaterales, más prominentemente en el lóbulo superior derecho. La flecha indica la fisura horizontal derecha.
Photo courtesy of Thomas M. File, Jr., MD MSc MACP FIDSA FCCP.
En estos temas
