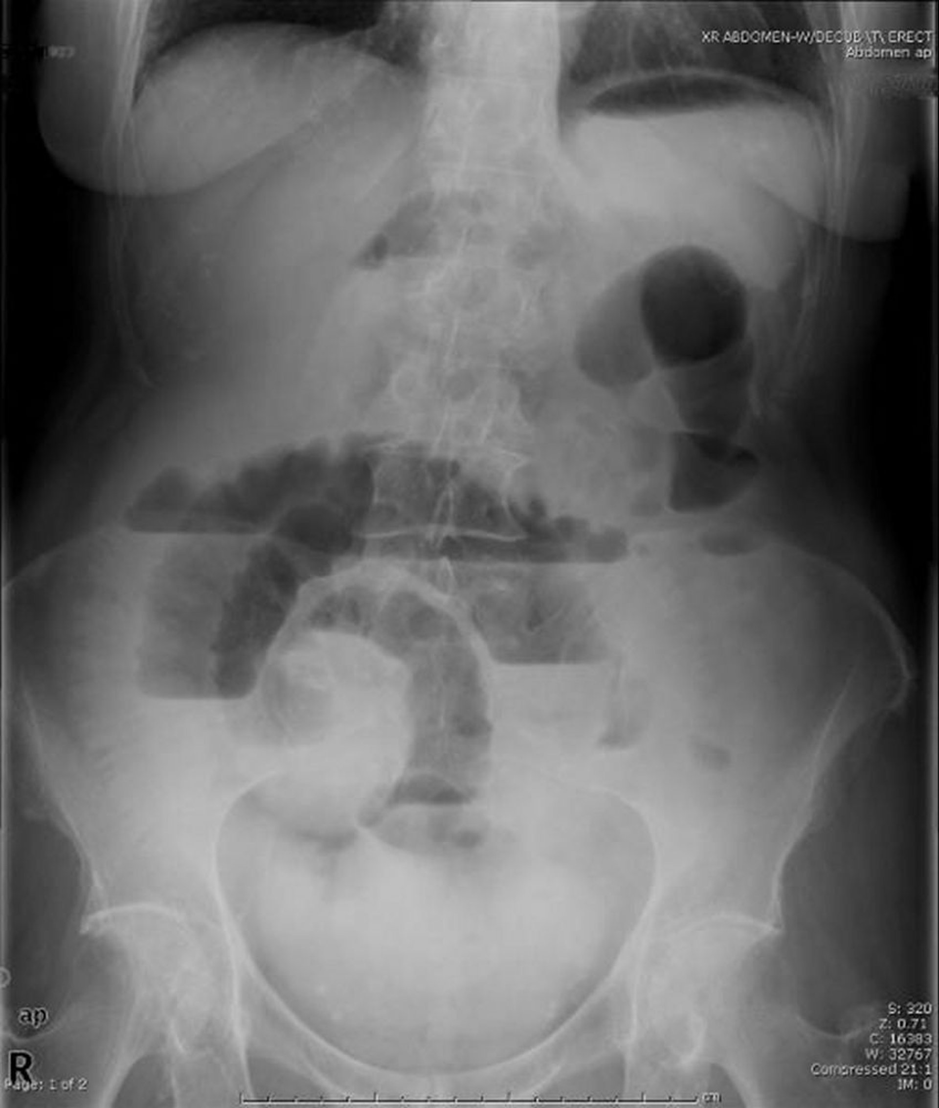
Obstrucción del intestino delgado (radiografía de pie)
Esta radiografía abdominal con el paciente de pie en la que se observa obstrucción del intestino delgado. Tenga en cuenta los múltiples niveles de aire-líquido.
Image provided by Parswa Ansari, MD.
En estos temas
