Obstrucción del intestino delgado (TC)

Obstrucción del intestino delgado (TC)

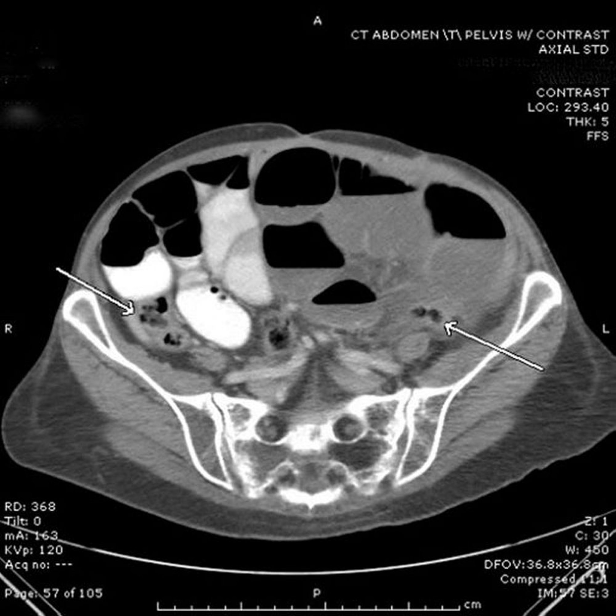
En esta TC, el intestino delgado está dilatado, y lleno de aire y líquido. Se observa contraste oral en algunas de las asas, pero no ha alcanzado el segmento distal del intestino delgado. Obsérvese el ciego y el colon sigmoideo colapsados (flechas). No siempre es posible visualizar un punto específico de obstrucción (punto de transición) en la TC, pero el intestino proximal dilatado y el intestino distal colapsado son altamente sugestivos del diagnóstico.

Image provided by Parswa Ansari, MD.