Oligodendroglioma de bajo grado
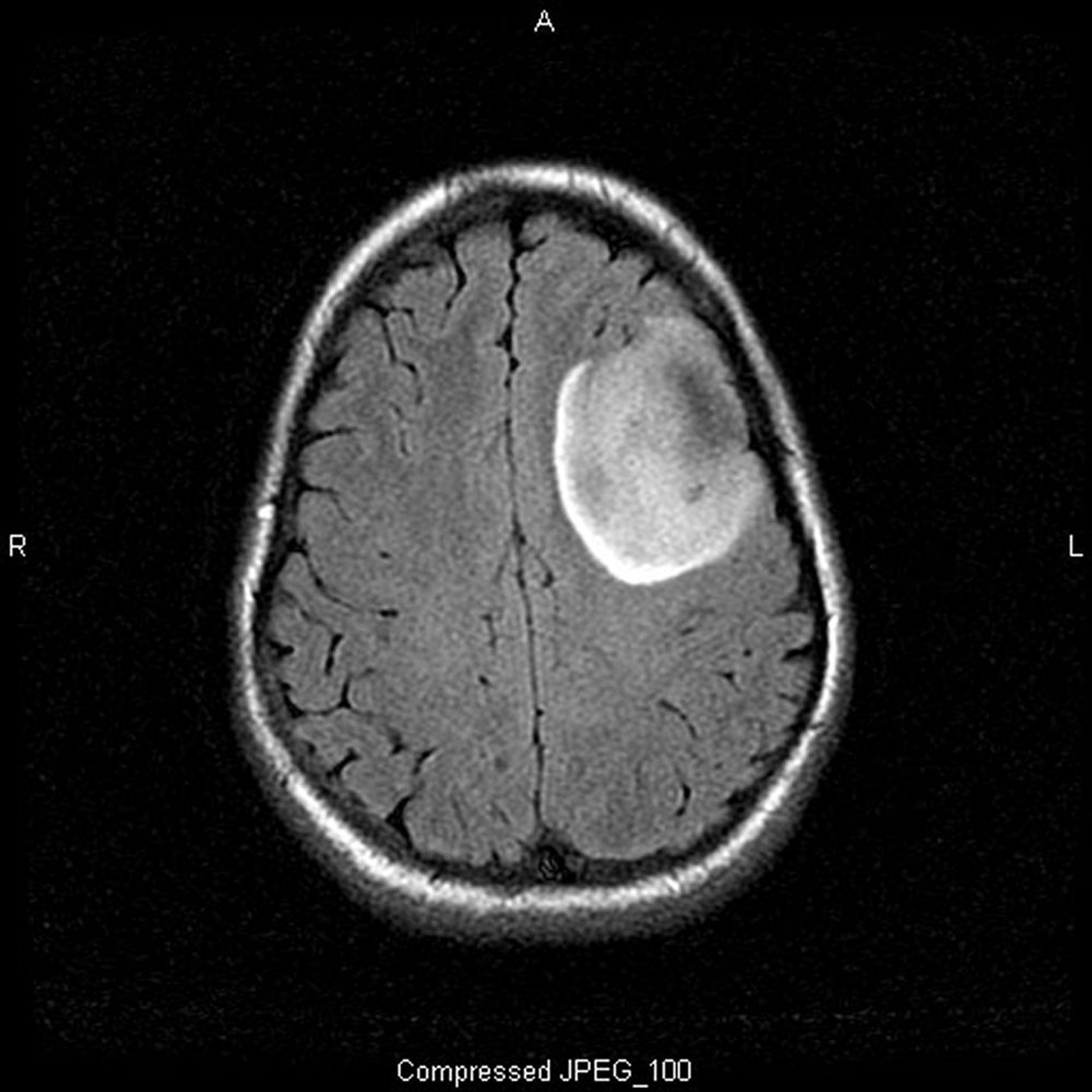
Esta RM en T2-FLAIR (recuperación de la inversión con atenuación de los líquidos) muestra una señal blanca, que puede indicar una masa o edema. La señal frontal izquierda está muy bien demarcada, lo que sugiere una masa. El contraste no intensifica la imagen. Es un oligodendroglioma de bajo grado (grado II).
Image courtesy of William R. Shapiro, MD.
En estos temas
