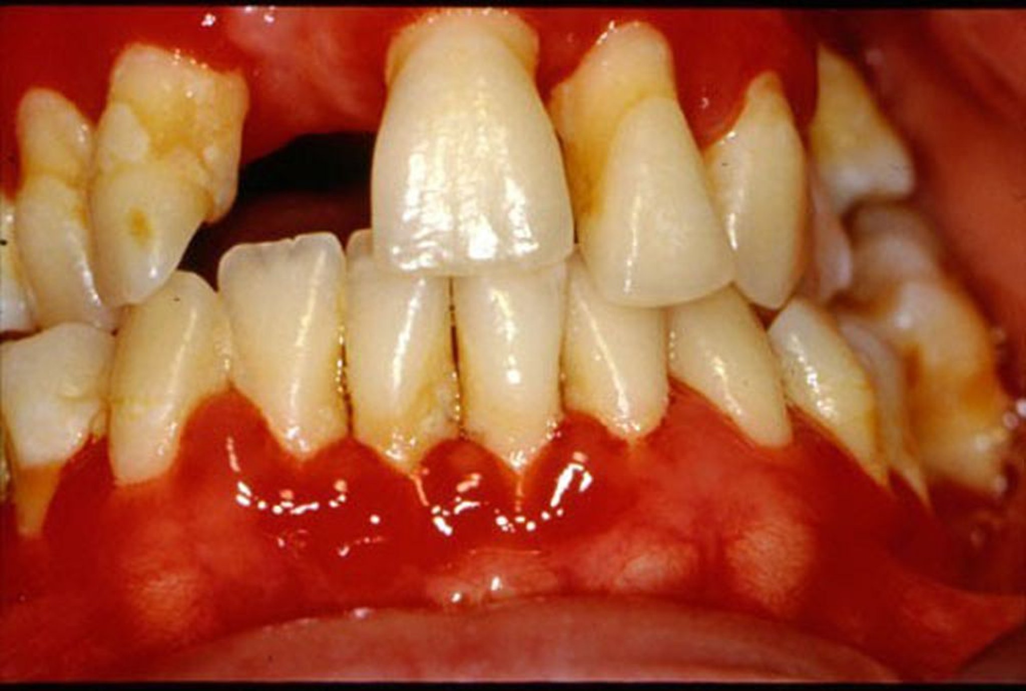
Periodontitis crónica
Esta fotografía muestra la inflamación crónica de los tejidos blandos inducida por la placa que conduce a la pérdida de tejido gingival y hueso de sostén, el movimiento de los dientes y la pérdida de los dientes.
Image provided by Jonathan A. Ship, DMD.
En estos temas
