Placa ateroesclerótica en la aorta descendente
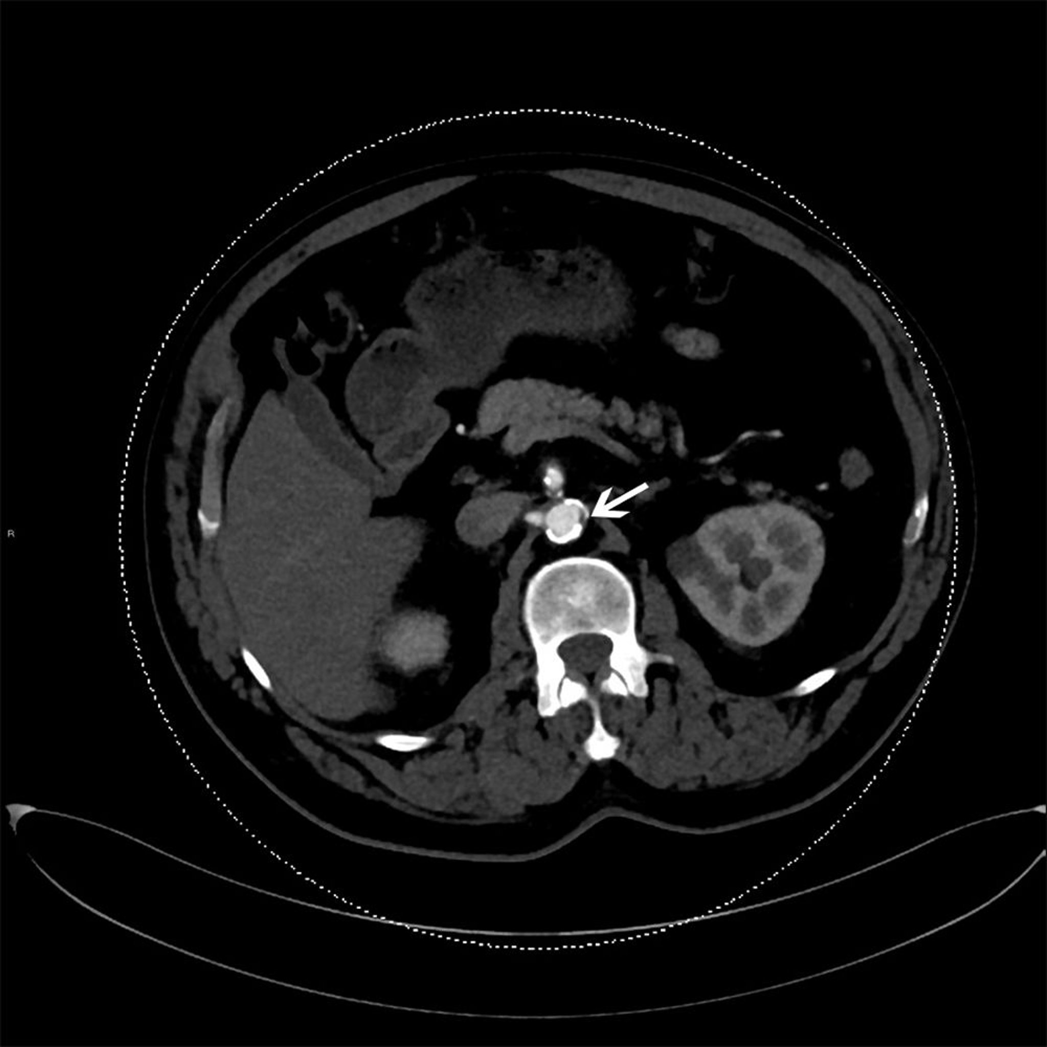
Esta tomografía computarizada con contraste muestra placa ateroesclerótica en la aorta descendente (flecha).
© Springer Science+Business Media
En estos temas
Esta tomografía computarizada con contraste muestra placa ateroesclerótica en la aorta descendente (flecha).
© Springer Science+Business Media