Prolapso de la válvula mitral (ecocardiografía)
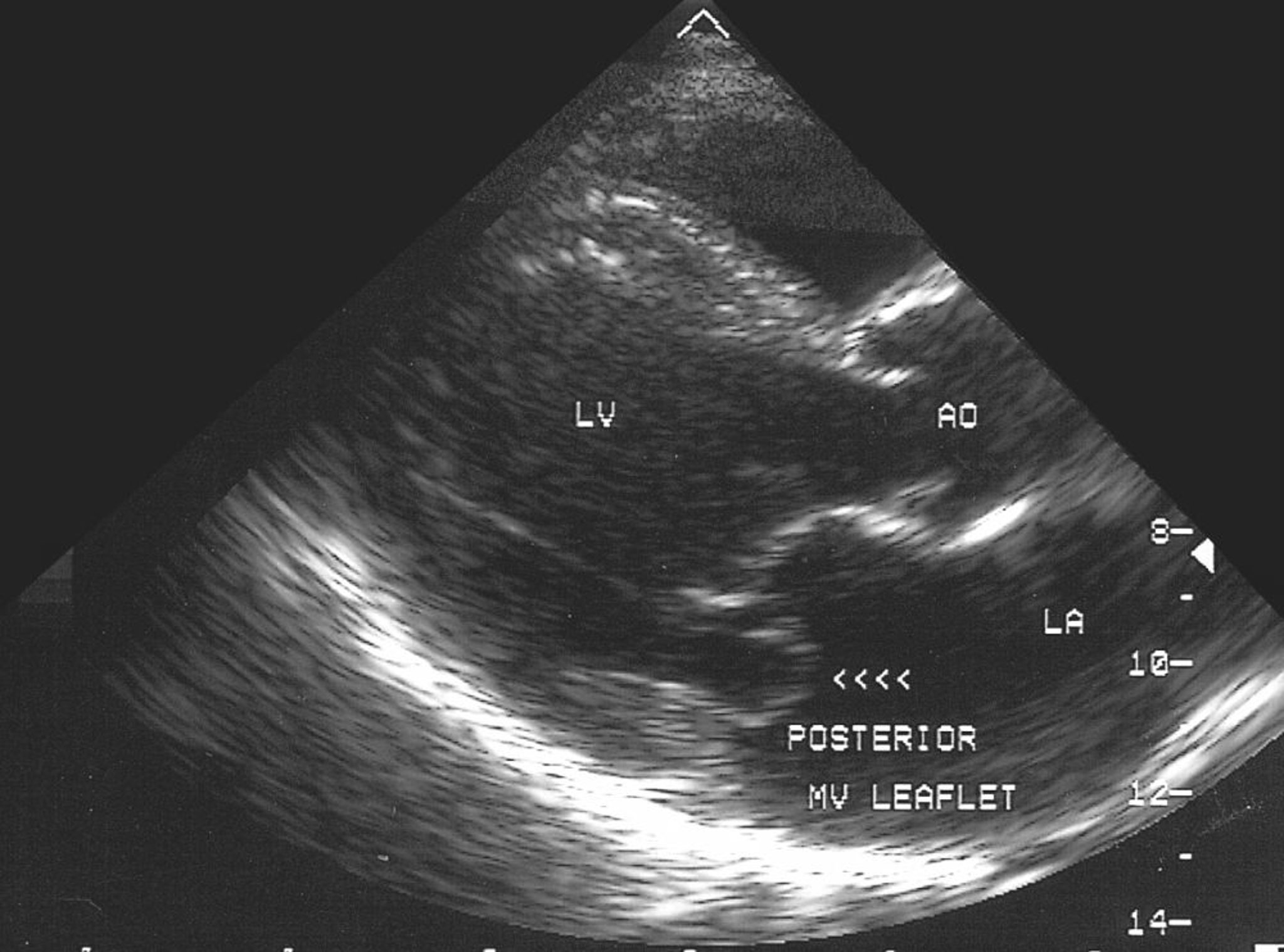
Esta imagen ecocardiográfica muestra el prolapso de la valva posterior de la válvula mitral hacia la aurícula izquierda.
© Springer Science+Business Media
En estos temas
Esta imagen ecocardiográfica muestra el prolapso de la valva posterior de la válvula mitral hacia la aurícula izquierda.
© Springer Science+Business Media