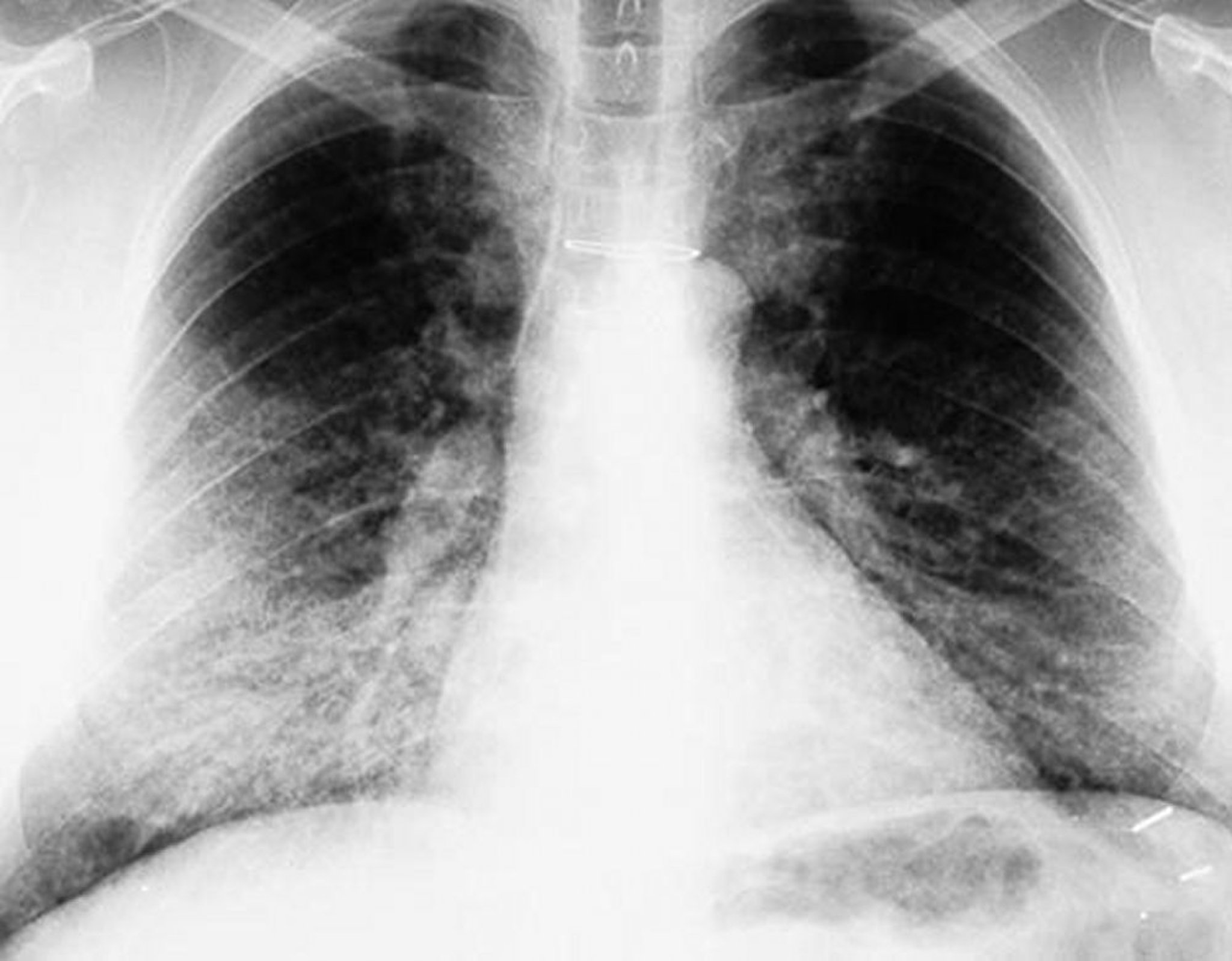
Proteinosis alveolar pulmonar (radiografía de tórax)
La radiografía de tórax muestra opacidades bilaterales, principalmente basales.
By permission of the publisher. De Lynch III J, Myers J. In Bone's Atlas of Pulmonary and Critical Care Medicine. Edited by J Crapo. Philadelphia, Current Medicine, 2005.
En estos temas
