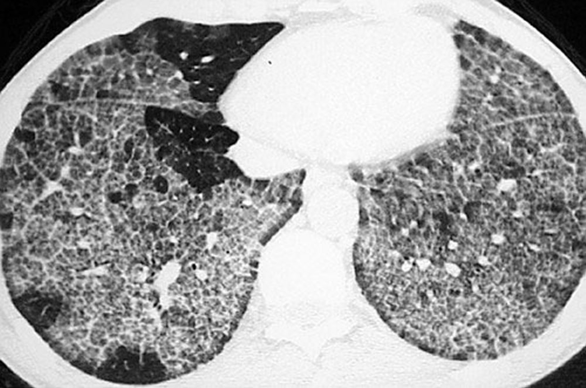
Proteinosis alveolar pulmonar (tomografía computarizada)
Tomografía computarizada de alta resolución que muestra opacificación en vidrio esmerilado y tabiques y estructuras intralobulillares engrosadas con forma poligonal ("en pavimento irregular").
Image courtesy of Talmadge E. King, MD.
En estos temas
