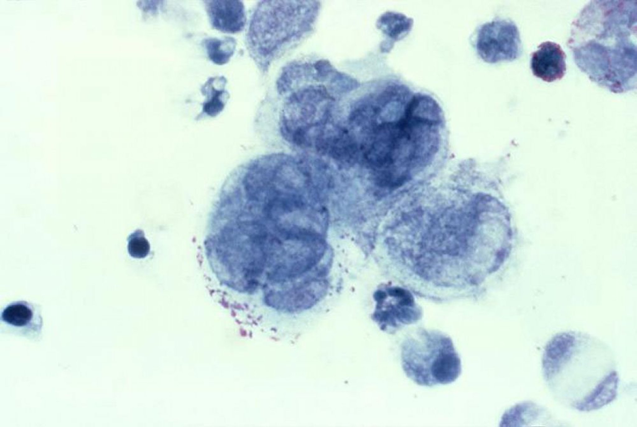
Prueba de Tzanck
Con la prueba de Tzanck, la base y los lados de una vesícula se raspan con un bisturí, y el material se tiñe con Wright o Giemsa. Las células gigantes multinucleadas son un signo de infección por herpes simple o herpes zóster.
Photo courtesy of Joe Miller via the Public Health Image Library of the Centers for Disease Control and Prevention.
En estos temas
