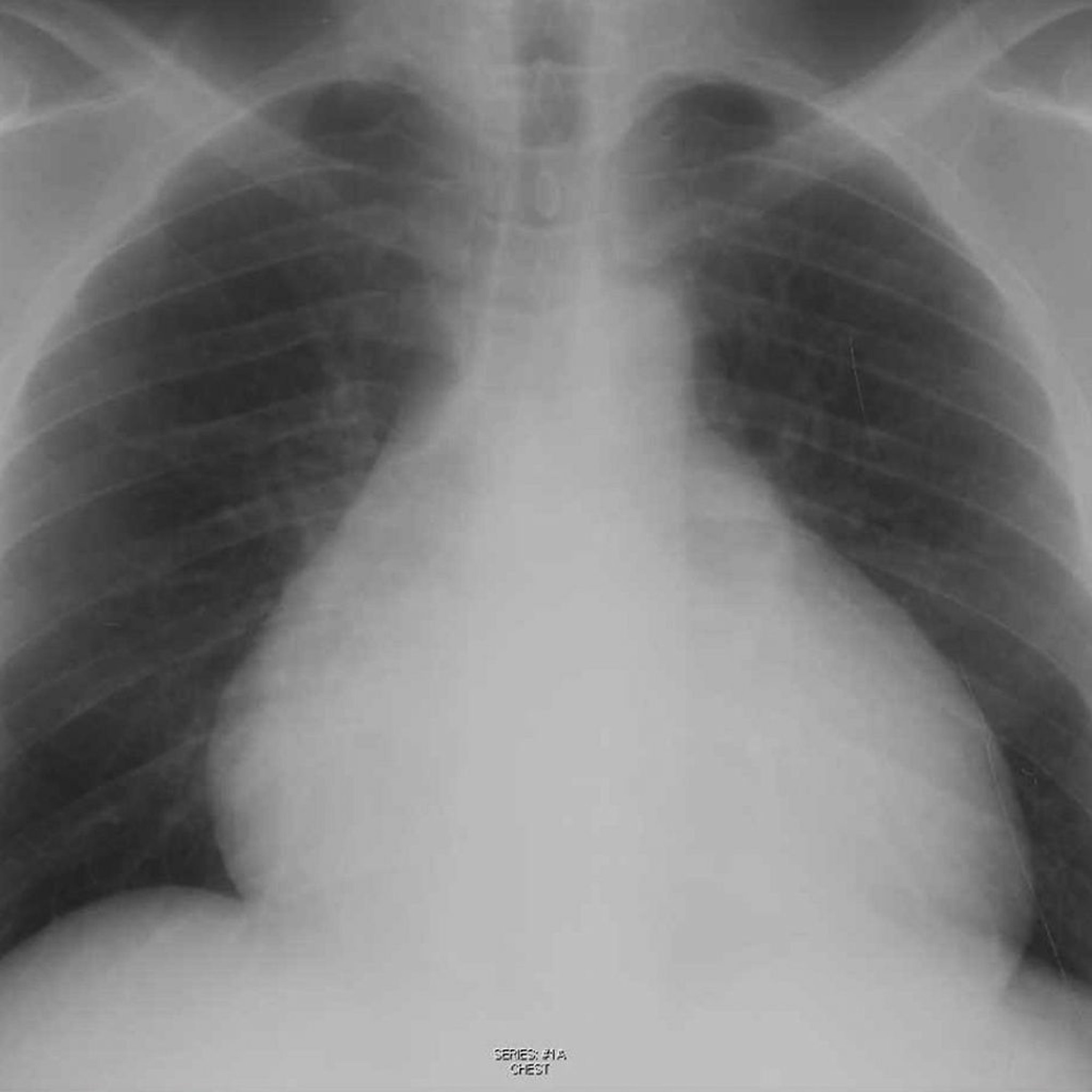
Radiografía torácica de un paciente con derrame pericárdico
Esta radiografía muestra una silueta cardíaca agrandada en un paciente con un derrame pericárdico.
© 2017 Elliot K. Fishman, MD.
En estos temas
Esta radiografía muestra una silueta cardíaca agrandada en un paciente con un derrame pericárdico.
© 2017 Elliot K. Fishman, MD.