Radiografía torácica de un paciente con pericarditis constrictiva
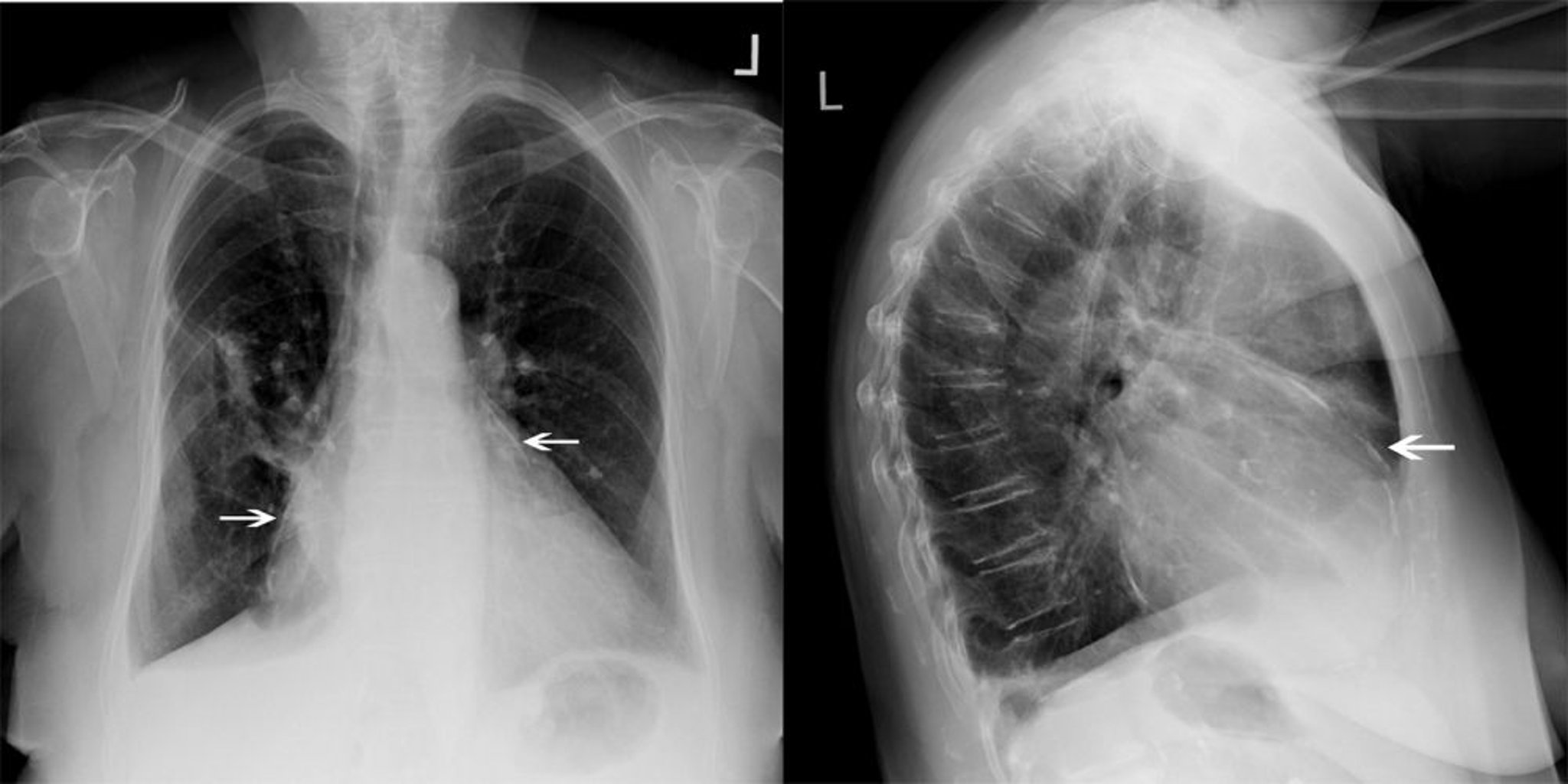
Este paciente con pericarditis constrictiva tiene una calcificación pericárdica significativa (flechas blancas).
© 2017 Elliot K. Fishman, MD.
En estos temas
Este paciente con pericarditis constrictiva tiene una calcificación pericárdica significativa (flechas blancas).
© 2017 Elliot K. Fishman, MD.