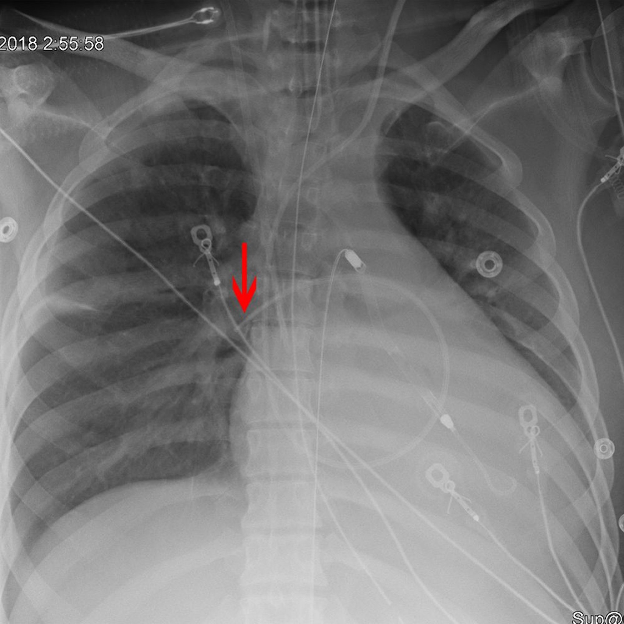
Radiografía que muestra la colocación correcta de un catéter de Swan Ganz
La flecha señala la punta de un catéter de Swan Ganz (arteria pulmonar) (colocado apropiadamente en la arteria pulmonar derecha).
© 2017 Elliot K. Fishman, MD.
La flecha señala la punta de un catéter de Swan Ganz (arteria pulmonar) (colocado apropiadamente en la arteria pulmonar derecha).
© 2017 Elliot K. Fishman, MD.