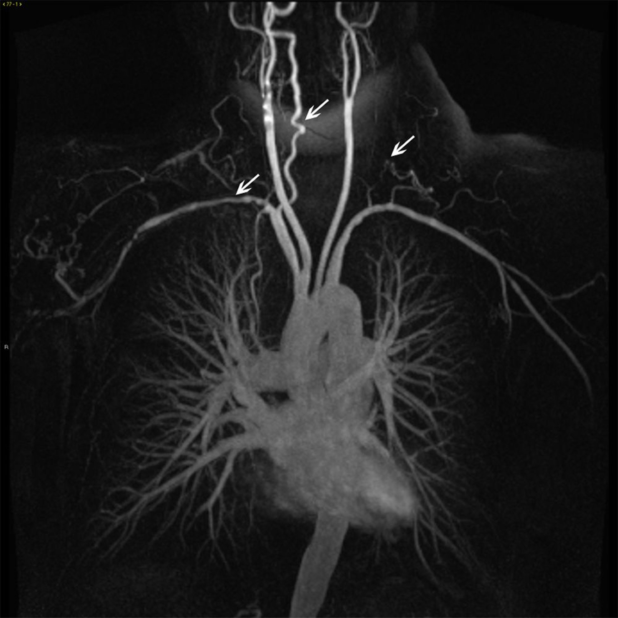
Ramas de aorta torácica ascendente en un paciente con arteritis de Takayasu
Esta imagen muestra irregularidad y estrechamiento mural (flechas blancas) en varias ramas de la aorta ascendente.
© 2017 Elliot K. Fishman, MD.
En estos temas
Esta imagen muestra irregularidad y estrechamiento mural (flechas blancas) en varias ramas de la aorta ascendente.
© 2017 Elliot K. Fishman, MD.