Síndrome de dificultad respiratoria aguda
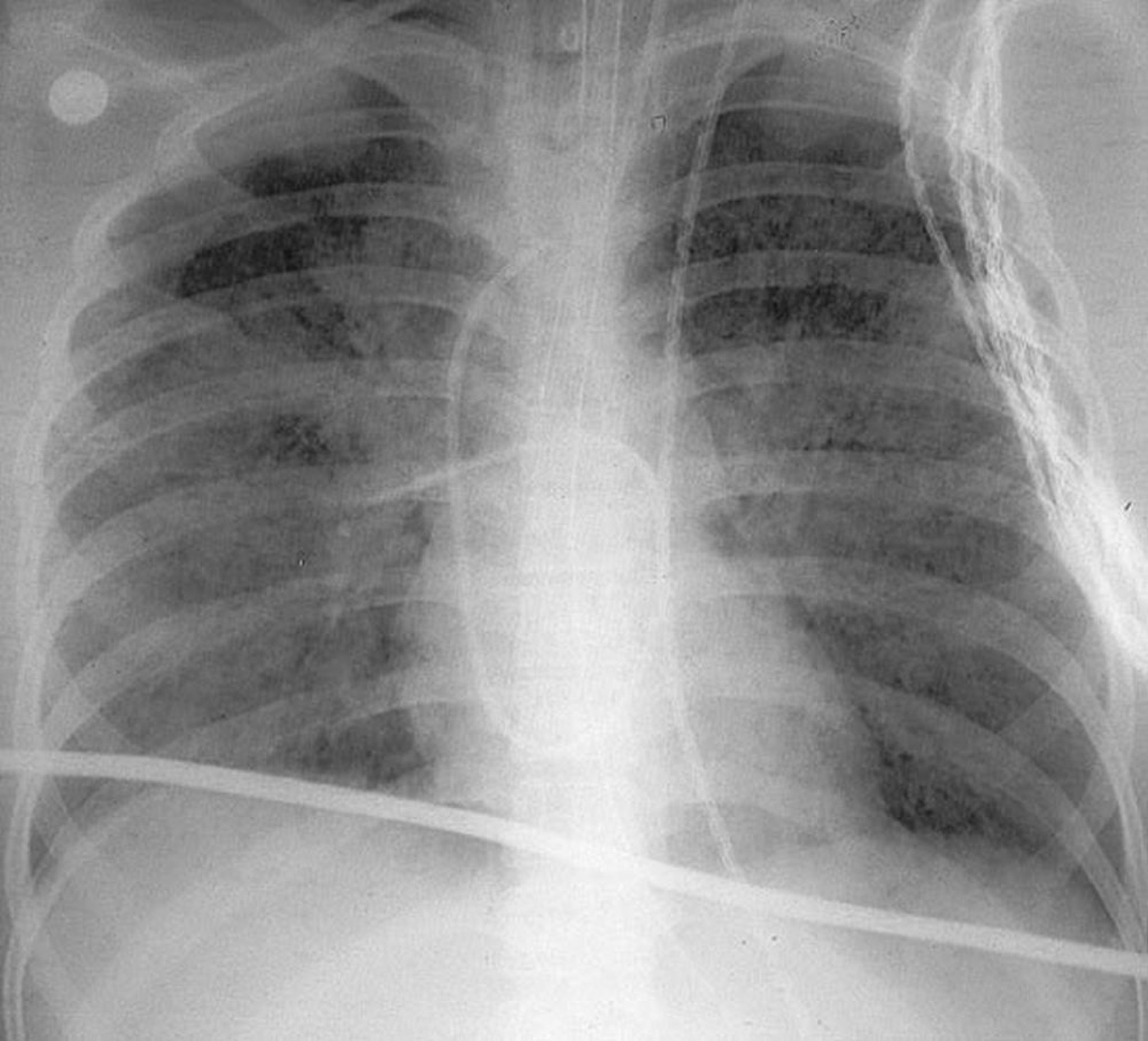
Esta radiografía de tórax de pie muestra opacidades bilaterales difusas características de un síndrome de dificultad respiratoria aguda (SDRA).
By permission of the publisher. De Herdegen J, Bone R. In Atlas of Infectious Diseases: Pleuropulmonary and Bronchial Infections. Edited by G Mandell (series editor) and MS Simberkoff. Philadelphia, Current Medicine, 1996.
En estos temas
