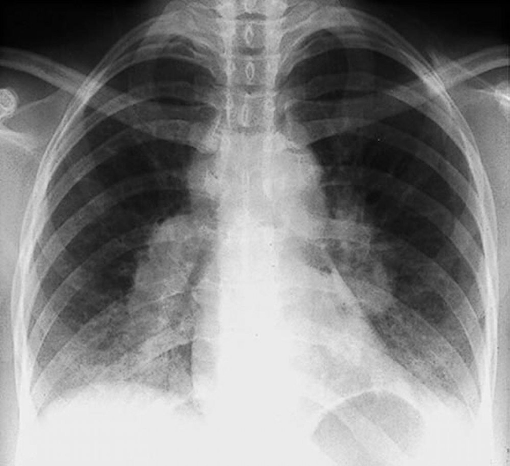
Sarcoidosis (estadio I)
Adenopatía hiliar bilateral en un estadio I de la sarcoidosis.
By permission of the publisher. De Tanoue L, Elias J. In Bone's Atlas of Pulmonary and Critical Care Medicine. Edited by J Crapo. Philadelphia, Current Medicine, 2005.
En estos temas
