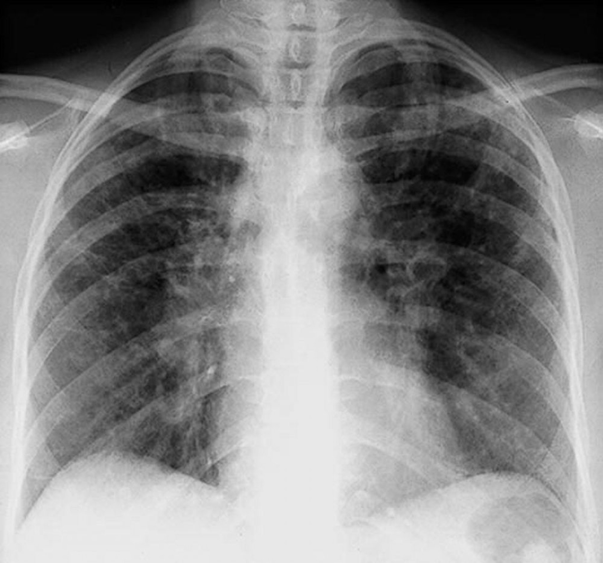
Sarcoidosis (estadio II)
Adenopatía hiliar bilateral con opacidades intersticiales en un estadio II de la sarcoidosis.
By permission of the publisher. De Tanoue L, Elias J. In Bone's Atlas of Pulmonary and Critical Care Medicine. Edited by J Crapo. Philadelphia, Current Medicine, 2005.
En estos temas
