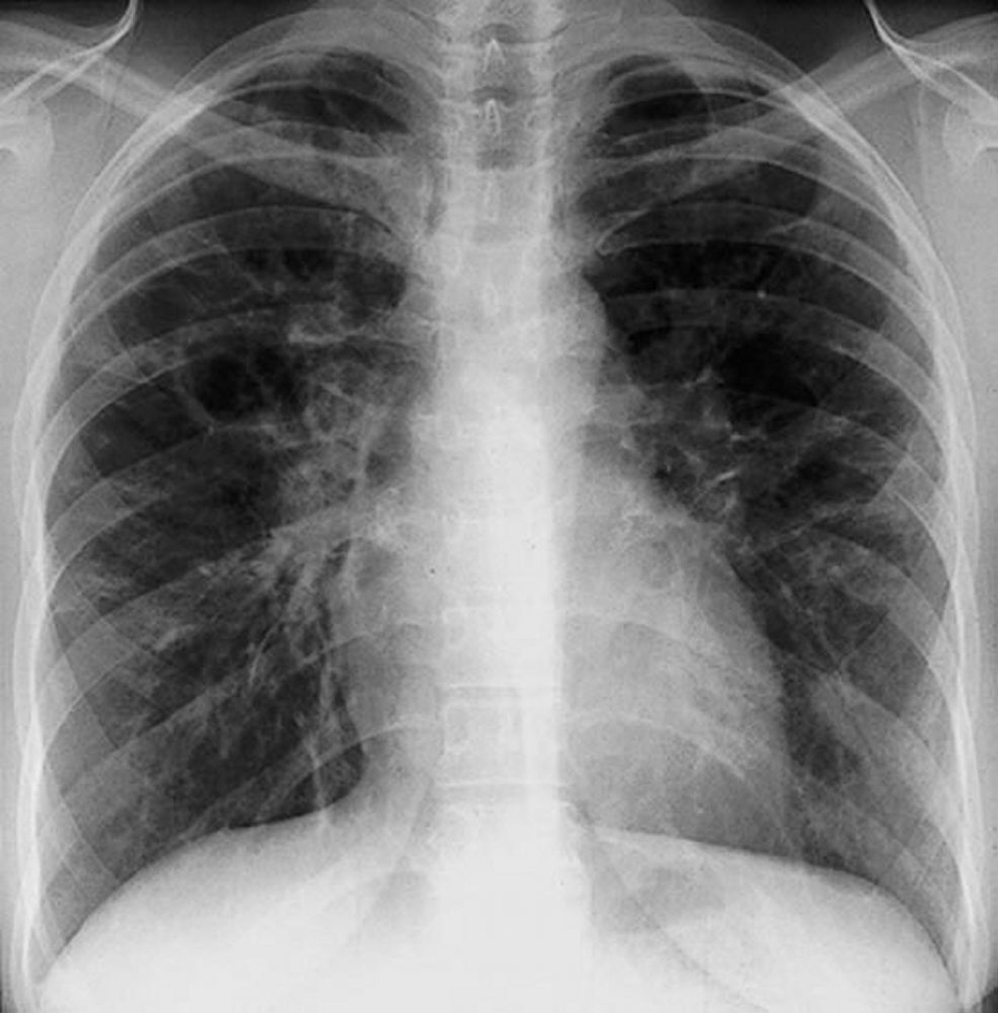
Sarcoidosis (estadio III)
Opacidades intersticiales difusas sin adenopatía hiliar en un estadio III de la sarcoidosis.
By permission of the publisher. De Tanoue L, Elias J. In Bone's Atlas of Pulmonary and Critical Care Medicine. Edited by J Crapo. Philadelphia, Current Medicine, 2005.
En estos temas
