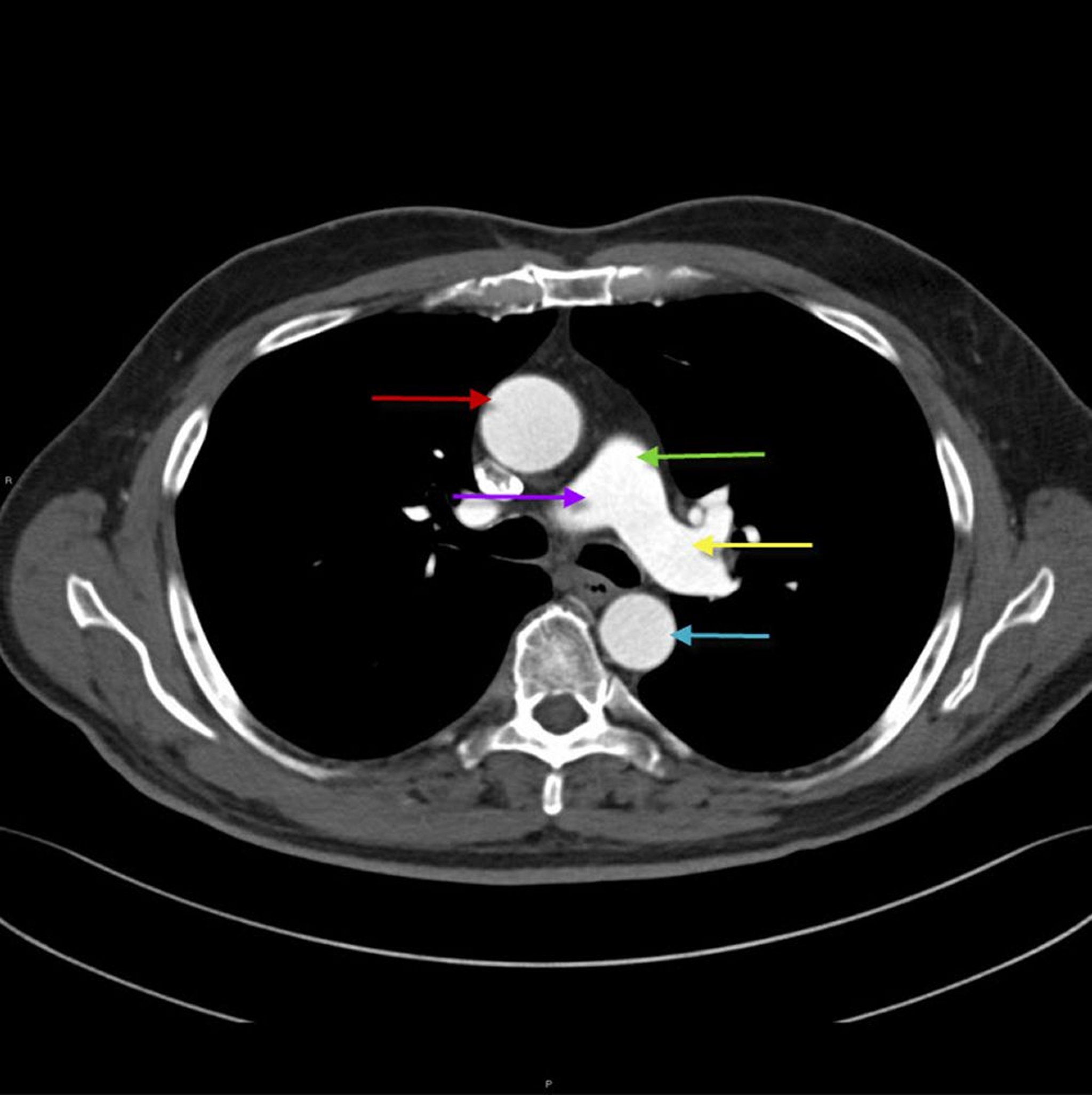
TC torácica que muestra la anatomía de la aorta y la arteria pulmonar
Esta imagen muestra la aorta torácica ascendente (flecha roja) con la aorta torácica descendente (flecha azul). La arteria pulmonar principal (flecha verde) se divide en la arteria pulmonar derecha (flecha púrpura) e izquierda (flecha amarilla).
© 2017 Elliot K. Fishman, MD.
En estos temas
