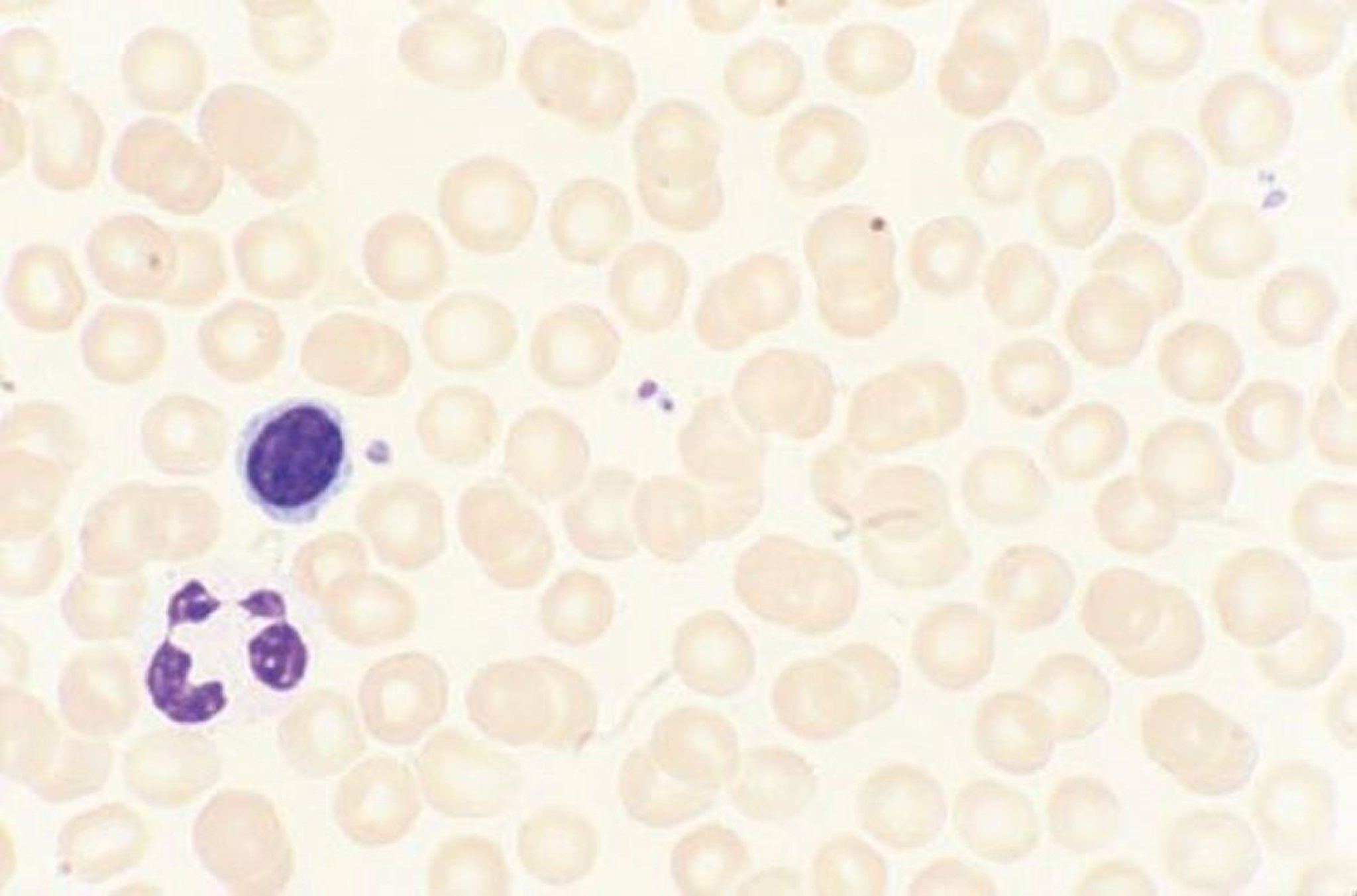
Tinción de Wright-Giemsa de frotis de sangre periférica
Las tinciones de Wright-Giemsa se obtienen mediante la mezcla de colorantes básicos (azul de metileno), que se tiñen de color azul, y colorantes ácidos (eosina), que se tiñen de color rojo. Así, los componentes ácidos de la célula (el núcleo, el ARN citoplasmático, los gránulos) se tiñen de azul o violeta, y los componentes básicos de la célula (hemoglobina, gránulos eosinófilos) se tiñen de rojo o de naranja.
By permission of the publisher. From Tefferi A, Li C. In Atlas of Clinical Hematology. Edited by JO Armitage. Philadelphia, Current Medicine, 2004.
En estos temas
