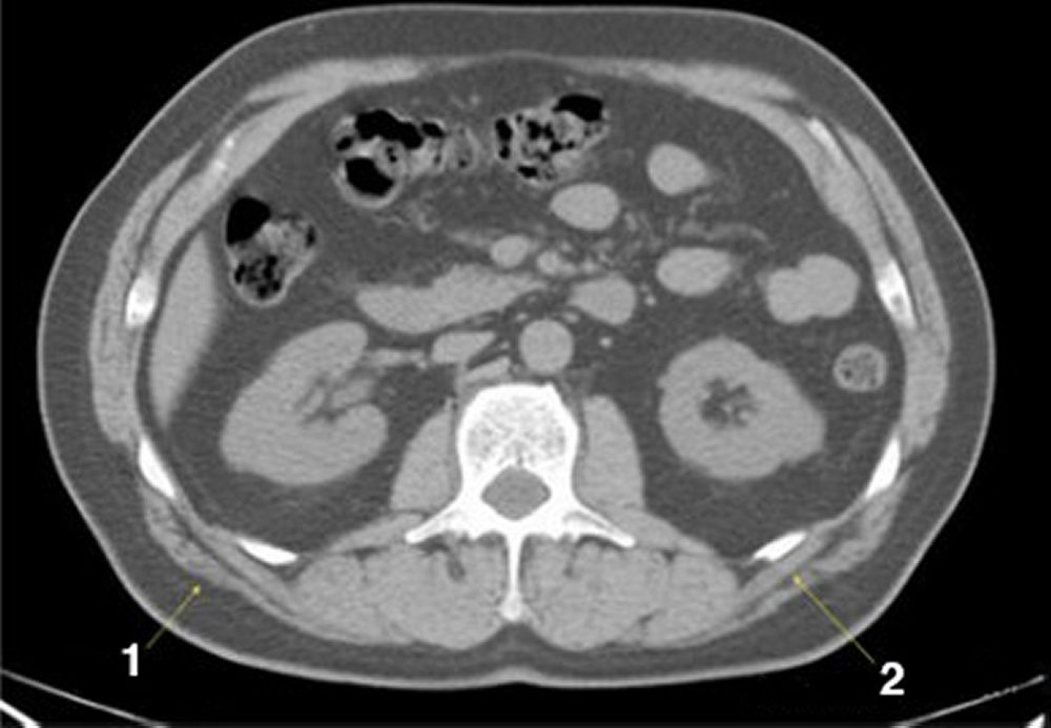
Tomografía computarizada sin contraste de abdomen y pelvis que muestra anatomía normal (corte 15)

Tomografía computarizada sin contraste de abdomen y pelvis que muestra anatomía normal (corte 15)

1 = latissimus dorsi; 2 = serratus posterior.

© Springer Science+Business Media