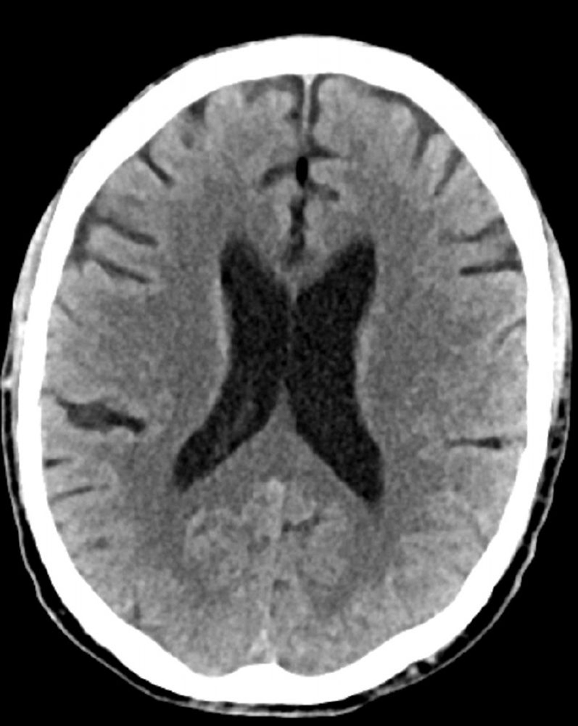
Tomografía computarizada craneal normal (adulto, 74 años)–diapositiva 4
Esta imagen es una tomografía computarizada craneal normal correspondiente a un adulto de 74 años. Cuando se compara con la tomografía computarizada craneal normal del adulto de 30 años de edad, se observa que los ventrículos y los sulcos son más grandes. Estos son hallazgos normales en este grupo de edad.
© 2017 Elliot K. Fishman, MD.
En estos temas
