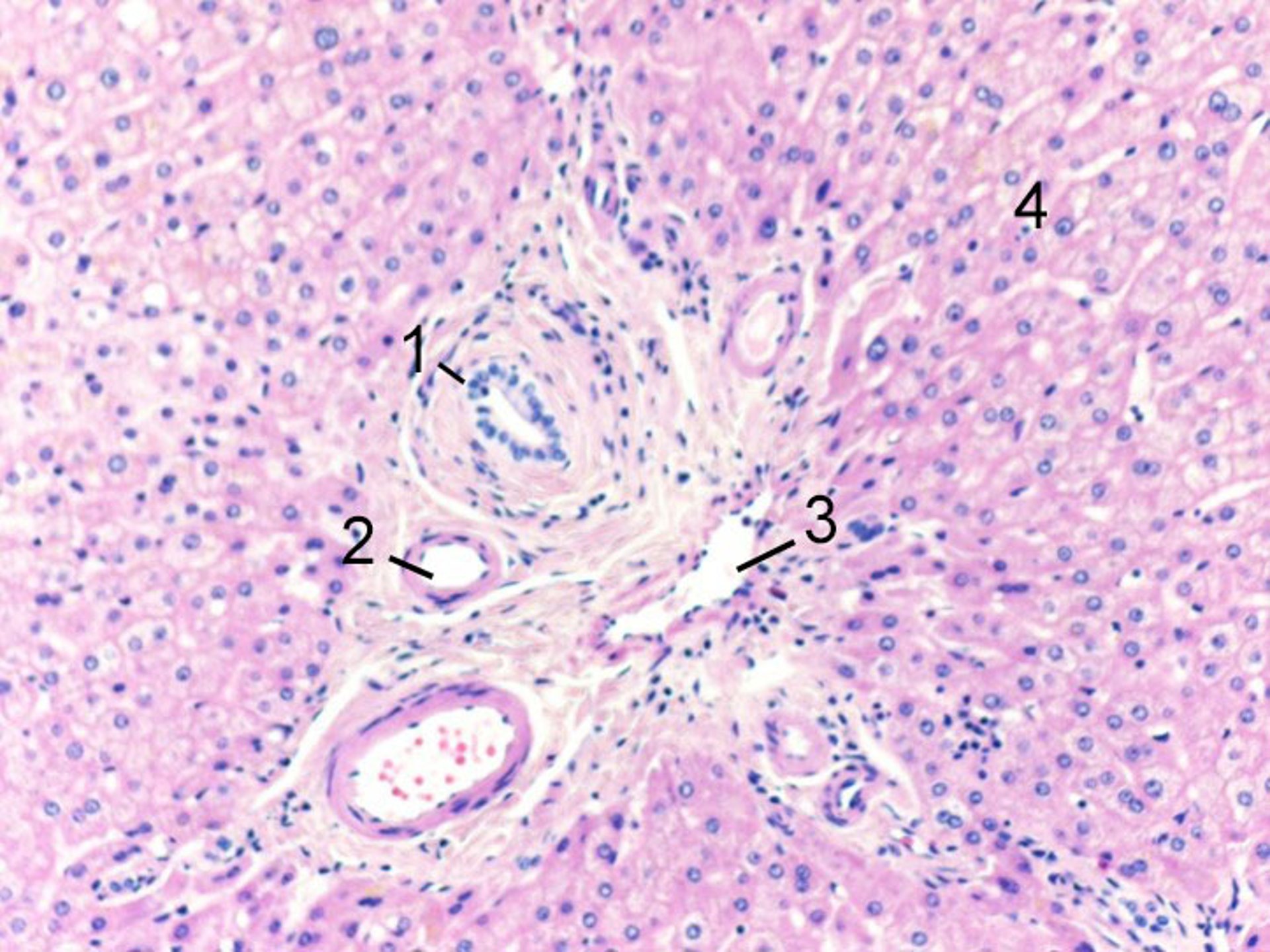
Tríada portal normal
1 = Rama del conducto biliar; 2 = rama de la arteria hepática; 3 = rama de la vena porta; 4 = hepatocitos.
Image courtesy of Danielle Tholey, MD, and M. Isabel Fiel, MD, MS, FAASLD.
En estos temas
1 = Rama del conducto biliar; 2 = rama de la arteria hepática; 3 = rama de la vena porta; 4 = hepatocitos.
Image courtesy of Danielle Tholey, MD, and M. Isabel Fiel, MD, MS, FAASLD.