Los tumores óseos malignos primarios son mucho menos comunes que los tumores óseos metastásicos, particularmente en adultos. Los tumores primarios malignos del hueso incluyen osteosarcoma, adamantinoma, condrosarcoma, cordoma, sarcoma de Ewing óseo, y tumor maligno de células gigantes. (Véase también Generalidades sobre los tumores de huesos y articulaciones y Generalidades sobre la leucemia). El mieloma múltiple y el linfoma óseo también son técnicamente tumores óseos malignos primarios, pero se analizan mejor en el contexto de la enfermedad ósea metastásica porque los principios de tratamiento son mucho más similares.
Los dos sistemas más utilizados para estadificar estos tumores son
The American Joint Committee on Cancer (AJCC) Cancer Staging Manual, Versión 9: para el osteosarcoma, el condrosarcoma y el sarcoma de Ewing, la estadificación se basa en la histología tumoral específica, el grado histológico, el tamaño tumoral máximo, el compromiso ganglionar y la presencia de metástasis (clasificación TNM). El manual clasifica los tumores en 4 etapas y se utiliza para informar los datos del cáncer. Cabe destacar que el sistema de estadificación actualizado tiene una clasificación separada para sarcomas pélvicos y espinales, que incorpora información sobre el número de segmentos pélvicos y espinales involucrados.
Sistema de estadificación de la Musculoskeletal Tumor Society (MSTS): utilizado por los cirujanos de oncología ortopédica según el grado histológico (p. ej., estadio I: histología de bajo grado y estadio II: histología de alto grado, si el tumor está contenido completamente dentro del hueso [A] o se ha diseminado fuera de la corteza hacia el tejido blando circundante [B], y metástasis estadio III). El osteosarcoma típico (convencional) con un tumor del tejido blando asociado sin metástasis pertenece al estadio IIB en el sistema MSTS.
Osteosarcoma (sarcoma osteogénico)
El osteosarcoma es el tumor óseo primario maligno más frecuente (si se considera que el mieloma es un tumor de células medulares y no un tumor óseo primario) y es muy maligno. Es más común en niños y adolescentes, aunque puede ocurrir a cualquier edad. Hay dos picos de incidencia; esta es más alta en adolescentes y adultos muy jóvenes (coincidiendo con el brote de crecimiento adolescente) y el pico secundario se produce en adultos mayores (≥ 60 años), especialmente en aquellos con factores de riesgo como enfermedad de Paget, infartos óseos y áreas de hueso previamente expuestas a altas dosis de radioterapia debido a otro cáncer muchos años antes. Los niños que portan el gen para el retinoblastoma hereditario (variantes del gen RB1) y el síndrome de Li-Fraumeni (gen TP53) tienen un mayor riesgo de desarrollar osteosarcoma.
El osteosarcoma produce un osteoide maligno (hueso inmaduro) a partir de células óseas tumorales. El osteosarcoma aparece alrededor de la rodilla (más frecuente en el fémur distal que en la tibia proximal) o en otros huesos largos, en particular en el área metadiafisaria, y puede dar metástasis, por lo general a pulmón o a otros huesos. Los síntomas habituales son dolor, hinchazón/masa y pérdida del movimiento articular.
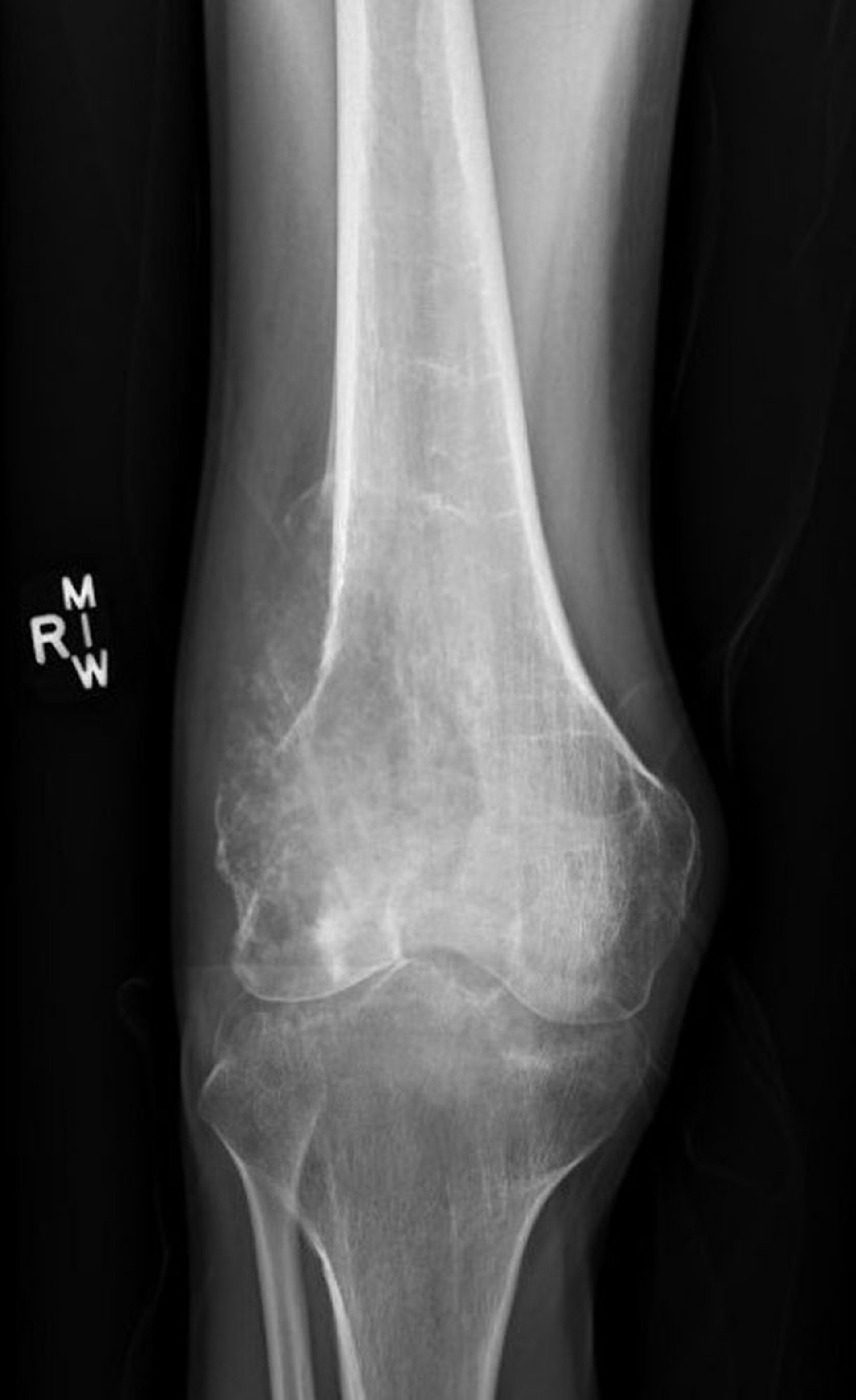
Esta radiografía de la rodilla muestra un osteosarcoma destructivo en el fémur por encima de la rodilla con apariencia lítica destructiva y el clásico triángulo de Codman que demuestra elevación perióstica patológica.
Image courtesy of Lukas Nystrom, MD.
Los hallazgos en estudios por la imagen varían y pueden incluir características escleróticas o líticas. El diagnóstico del osteosarcoma requiere biopsia. Los pacientes requieren una TC de tórax para evaluar metástasis pulmonares y una gammagrafía ósea corporal total de medicina nuclear para evaluar metástasis óseas. Para evaluar lesiones metacrónicas (o "lesiones salteadas") se realiza una RM de toda la extremidad afectada. La PET-TC (tomografía por emisión de positrones) puede mostrar tanto metástasis a distancia como lesiones metacrónicas y se trata de una modalidad de estadificación en evolución.
El tratamiento del osteosarcoma se realiza con quimioterapia y cirugía. El uso de quimioterapia adyuvante aumenta la supervivencia de < 20% a > 65% a los 5 años para los pacientes que presentan enfermedad localizada (1). La quimioterapia neoadyuvante comienza antes de la resección quirúrgica. El objetivo es tratar la enfermedad micrometastásica temprana, que se supone está presente, incluso si no se ve en los estudios de diagnóstico por imágenes realizados para la estadificación. La disminución de la masa tumoral periférica de tejidos blandos (en las imágenes), el aumento de la mineralización (en la radiografía), la mejoría del dolor y la disminución de las concentraciones séricas de fosfatasa alcalina son indicadores de una respuesta favorable. En última instancia, la respuesta a la quimioterapia se determina en el momento de la resección quirúrgica mediante el mapeo histológico de la pieza resecada a cargo del anatomopatólogo. Un hallazgo pronóstico positivo es > 95% de necrosis tumoral en el mapeo histológico del espécimen resecado por el patólogo. El objetivo de la cirugía es resecar el tumor—incluyendo todo el tejido reactivo circundante y un borde de tejido normal circundante—en bloque, para evitar el derrame microscópico de células tumorales. La presencia de necrosis y los márgenes quirúrgicos son críticos para el resultado del paciente. Si no se puede lograr un margen negativo con cirugía de rescate del miembro, se debe considerar la amputación.
Más del 85% de los pacientes pueden tratarse con cirugía conservadora de la extremidad sin disminuir la tasa de supervivencia a largo plazo.
Luego de la cirugía, debe continuarse con quimioterapia. Si hay una necrosis tumoral casi completa (> 90%) debida a la quimioterapia preoperatoria, se informa que la tasa de supervivencia a 5 años es del 70 al 74% (2). La enfermedad metastásica limitada (p. ej., oligometastásica) a los pulmones puede tratarse con toracotomía y resección en cuña de la lesión o lesiones pulmonares.
Las variantes de osteosarcoma que son diferentes del convencional y ocurren con menor frecuencia incluyen lesiones corticales superficiales, tales como osteosarcoma parosteal y osteosarcoma perióstico. El osteosarcoma parostal suele afectar la corteza posterior del fémur distal y por lo general es de bajo grado. El osteosarcoma parostal requiere resección quirúrgica en bloque pero no quimioterapia si la histología de la muestra resecada confirma que el tumor es de bajo grado.
El osteosarcoma perióstico es más un tumor de la superficie de la matriz cartlaginosa, que también contiene matriz ósea y es maligno. A menudo se localiza en la diáfisis femoral y aparece como un estallido solar en la radiografía. La probabilidad de metástasis en el osteosarcoma perióstico es mucho mayor que en el osteosarcoma parosteal, pero algo menor que en el osteosarcoma típico. La mayoría de las veces, los osteosarcomas periósticos son tratados de manera similar a los osteosarcomas convencionales con quimioterapia y resección quirúrgica en bloque.
Adamantinoma
El adamantinoma es raro (< 1% de los tumores óseos malignos) y con mayor frecuencia se desarrolla en la tibia, ocasionalmente con afectación del peroné. Puede ocurrir a cualquier edad, pero afecta con mayor frecuencia a individuos jóvenes y de mediana edad. El adamantinoma es un tumor maligno de crecimiento lento que a menudo se manifiesta con dolor y una masa palpable.
Esta radiografía lateral de la tibia derecha muestra un gran adamantinoma intracortical anterior (flechas). Nótese la apariencia permeativa, osteolítica en "burbuja de jabón".
Image courtesy of Michael J. Joyce, MD, and Hakan Ilaslan, MD.
La lesión generalmente se manifiesta en la cresta anterior de la tibia, y las radiografías muestran una apariencia osteolítica de "burbuja de jabón". La apariencia histológica es un patrón bifásico de nidos de células epiteliales entre un fondo de tejido fibroso. Las células tumorales tiñen positivas para queratina. La lesión puede confundirse con displasia osteofibrosa de la corteza tibial anterior, que es una entidad benigna. Es probable que la displasia osteofibrosa de la corteza tibial anterior esté en el mismo espectro de la enfermedad que el adamantinoma (3) y puede ser una lesión precursora, pero sin el componente epitelial que la caracteriza como maligna.
Pueden ocurrir metástasis, principalmente en los pulmones, pero son raras.
El tratamiento del adamantinoma consiste en la resección amplia y la reconstrucción del defecto. Ocasionalmente, la amputación es necesaria si no se pueden obtener márgenes quirúrgicos negativos o si el defecto resultante no es reconstruible.
Condrosarcoma
Los condrosarcomas son tumores malignos formadores de cartílago. La mayoría de los condrosarcomas son tumores primarios. También pueden surgir en forma secundaria y adyacentes a un encondroma benigno existente o un osteocondroma, particularmente en la encondromatosis (p. ej., en la enfermedad de Ollier y en el síndrome de Maffucci) o en las exostosis hereditarias múltiples (EHM). Los condrosarcomas tienden a ocurrir en adultos de mediana edad y mayores. Pueden desarrollarse en huesos planos (ej. pelvis, escápula) o en cualquier hueso largo (con mayor frecuencia fémur y húmero entre los huesos largos) y pueden tener un componente que se extiende hacia los tejidos blandos circundantes.
Esta radiografía del hombro muestra una lesión calcificada punteada en el húmero (flechas) con festoneado endóstico, incluyendo algunas áreas de destrucción a través de la corteza.
Image courtesy of Michael J. Joyce, MD, and Hakan Ilaslan, MD.
Las radiografías a menudo revelan calcificaciones puntiformes dentro de la matriz del tumor. La cantidad de calcificación puede variar. Los condrosarcomas a menudo muestran también destrucción de hueso cortical y pérdida de las trabéculas normales. La RM puede demostrar muy bien la extensión completa del compromiso medular y también demuestra la masa de tejido blando, si está presente. Se debe realizar una gammagrafía ósea para completar la evaluación de estadificación, buscando otros sitios potenciales de enfermedad ósea. Aunque el condrosarcoma a menudo se diagnostica fácilmente basándose únicamente en los hallazgos radiológicos, la biopsia es beneficiosa cuando el diagnóstico está en duda y también puede ayudar en la determinación del grado del tumor (probabilidad de metastatizar) si esa información es útil para explicarle al paciente las alternativas de tratamiento. Sin embargo, debe tenerse en cuenta que a menudo es difícil diferenciar los condrosarcomas de bajo grado de los encondromas mediante imágenes e histología (4).
Los condrosarcomas intramedulares de bajo grado (grado 1) a menudo se tratan con curetaje intralesional con el agregado de un adyuvante (térmico o químico). Algunos cirujanos prefieren la resección quirúrgica en bloque de tumores de bajo grado para reducir el riesgo de recurrencia. Los tumores de grado intermedio o alto requieren tratamiento más agresivo en forma de resección amplia. Cuando no es posible la resección quirúrgica con mantenimiento de la función o si no se puede lograr un margen adecuado, puede ser necesaria la amputación. No hay otras terapias que se consideren efectivas contra el condrosarcoma. Se debe ser cuidadoso durante la biopsia o cirugía para evitar la diseminación de células tumorales a los tejidos blandos, por la posibilidad de implantar el tumor. Las recidivas son inevitables si hay dispersión de células tumorales. Si no se produce la diseminación, la tasa de curación depende del grado del tumor. Los tumores de bajo grado se curan casi todos con tratamiento adecuado. Dado que estos tumores tienen vascularización limitada, la quimioterapia y la radiación tienen poca eficacia.
Cordoma
El cordoma es un tumor maligno raro que se desarrolla a partir de los restos de la notocorda primitiva. Tiende a aparecer en los extremos de la columna vertebral, generalmente en el medio del sacro o cerca de la base del cráneo. Un cordoma en la región sacrococcígea típicamente causa dolor sustancial. Un cordoma en la base del cráneo puede causar déficit de un nervio craneal, más comúnmente en el nervio óptico. Los síntomas del cordoma pueden estar presentes durante meses a años antes del diagnóstico.
Esta RM muestra un tumor en el extremo caudal del sacro (S4) y cóccix con destrucción ósea y masa de tejido blando (flechas), característica de un cordoma.
Image courtesy of Michael J. Joyce, MD, and Hakan Ilaslan, MD.
El cordoma aparece en estudios de diagnóstico por imágenes como una lesión ósea destructiva, que puede asociarse con una masa de tejido blando. Se visualiza mejor por RM o TC dado el componente predominante de tejido blando. Se requiere una biopsia para confirmar el diagnóstico. El tipo celular patognomónico es la célula fisalífera; estas células se caracterizan por ser muy grandes y tener un núcleo pequeño y redondo y citoplasma de apariencia burbujeante.
Los cordomas en la región sacrococcígea pueden curarse mediante resección radical en bloque, con o sin radioterapia adyuvante. La cirugía casi siempre requiere el sacrificio de todas las raíces nerviosas en el nivel de compromiso y por debajo. Dependiendo del nivel de compromiso del tumor, la cirugía propuesta conlleva una morbilidad sustancial de pérdida de función intestinal, vesical y/o sexual (5). Si se considera que la cirugía es excesivamente mórbida, se puede ofrecer radioterapia con intención curativa en su lugar. Los cordomas en la base del cráneo suelen ser inaccesibles a la cirugía, pero pueden responder a radioterapia. La tasa de recurrencia local es alta después de la resección del tumor. Puede haber metástasis, aunque son menos frecuentes.
Sarcoma de Ewing del hueso
El sarcoma de Ewing del hueso es un pequeño tumor óseo de células azules redondas que tiene incidencia pico entre los 10 y los 20 años de edad. El sarcoma de Ewing se relaciona con tumores neuroectodérmicos primitivos periféricos (TNEP) y con el tumor maligno microcítico de la pared torácica de Askin, que ahora se consideran parte de la familia de tumores del sarcoma de Ewing. La mayoría de los tumores aparecen en las extremidades, aunque puede afectar cualquier hueso. El sarcoma de Ewing más a menudo involucra la región diafisaria con cierta extensión hacia la región metafisaria. Los síntomas más comunes son dolor e hinchazón.
Este sarcoma de Ewing de la diáfisis radial muestra una formación subperióstica de hueso nuevo reactivo en una reacción perióstica de "rayos solares" clásica junto con la destrucción lítica del hueso cortical.
ZEPHYR/SCIENCE PHOTO LIBRARY
El signo más frecuente en estudios por la imagen es una destrucción lítica, en particular un patrón penetrante, aunque puede tener apariencia de cáscara de cebolla por la presencia de múltiples capas de reacción subperióstica con formación de hueso nuevo. Clásicamente, las radiografías no suelen revelar la extensión completa de la afectación ósea, y una gran masa de tejido blando generalmente rodea el hueso afectado. La RM define mejor la extensión de la enfermedad y puede guiar el tratamiento.
Otros tumores benignos y malignos pueden tener apariencia similar, y el diagnóstico del sarcoma de Ewing se realiza mediante biopsia. Algunas veces, este tipo de tumor puede confundirse con una infección. El diagnóstico histológico preciso se puede lograr con el análisis citogenético y la identificación de marcadores moleculares, incluida la evaluación de una translocación cromosómica típica entre los cromosomas 11 y 22 que da como resultado el producto de fusión EWSR1-FLI1. Este producto de fusión está presente en aproximadamente el 85% de los casos; sin embargo, se han identificado varias translocaciones estructurales diferentes en diferentes patrones de genes de fusión (6).
Esta radiografía de hombro muestra un tumor destructivo permeativo que surge en el húmero proximal, lo cual es típico del sarcoma de Ewing.
Image courtesy of Michael J. Joyce, MD, and Hakan Ilaslan, MD.
El tratamiento del sarcoma de Ewing incluye quimioterapia y cirugía con radioterapia o sin ella. En la actualidad, > 60% de los pacientes con sarcoma de Ewing primario localizado pueden curarse con este enfoque multimodal (7). A veces, es posible la curación incluso con enfermedad metastásica. La quimioterapia asociada a resección quirúrgica en bloque, cuando factilble, presenta menor tasa de recidiva local que la quimiorradioterapia, aunque estas diferencias son mínimas y deben ponderarse frente a la morbimortalidad de la cirugía. La mayoría de las veces, se prefiere la cirugía cuando es posible.
Linfoma de hueso
El linfoma óseo afecta principalmente a los adultos. El subtipo típico es el linfoma difuso de linfocitos B grandes. Puede originarse en cualquier hueso. El tumor está formado principalmente por células redondas pequeñas, a menudo con una mezcla de células reticulares, linfoblastos y linfocitos. Puede aparecer como un tumor óseo primario aislado o asociado con tumores similares en otros tejidos, o como metástasis de una enfermedad linfomatosa de tejidos blandos conocida. Los síntomas más comunes del linfoma ósea son dolor y edema. La fractura patológica puede ser un síntoma de presentación.
Esta radiografía de rodilla muestra un linfoma en la tibia proximal con una apariencia mixta lítica y esclerótica debajo del cóndilo tibial medial (flechas).
Image courtesy of Michael J. Joyce, MD, and Hakan Ilaslan, MD.
Los estudios por la imagen revelan destrucción ósea, que puede tener un patrón moteado o en parches o incluso infiltrativo, penetrante, a menudo con una masa de tejido blando clínica y radiológica. En muchos casos, la extensión del compromiso de tejidos blandos y médula ósea observada en la RM será significativamente mayor en comparación con los cambios visibles en radiografías. Sin embargo, en la enfermedad avanzada puede perderse el contorno completo del hueso afectado.
El subtipo histológico más común es el linfoma difuso de células B grandes. La tasa de supervivencia a 5 años en el linfoma óseo primario aislado de células B grandes difuso es del 88% (8).
Los linfomas óseos generalmente se tratan con quimioterapia sistémica. La radioterapia se puede usar como adyuvante en algunos casos si se observa una respuesta radiográfica inadecuada después de la quimioterapia. La estabilización de huesos largos puede ser necesaria para prevenir o tratar una fractura patológica. Ocasionalmente, se requiere artroplastia para tratar fracturas patológicas irrecuperables cercanas a la epífisis ósea.
Referencias
1. Link MP, Goorin AM, Horowitz M, et al. Adjuvant chemotherapy of high-grade osteosarcoma of the extremity. Updated results of the Multi-Institutional Osteosarcoma Study. Clin Orthop Relat Res. 1991;(270):8-14.
2. Richardson SM, Wurtz LD, Collier CD. Ninety Percent or Greater Tumor Necrosis Is Associated With Survival and Social Determinants of Health in Patients With Osteosarcoma in the National Cancer Database. Clin Orthop Relat Res. 2023 Mar 1;481(3):512-522. doi: 10.1097/CORR.0000000000002380. Epub 2022 Sep 13. PMID: 36099400; PMCID: PMC9928876.
3. Nascimento AF, Kilpatrick SE, Reith JD. Osteofibrous Dysplasia and Adamantinoma. Surg Pathol Clin. 2021;14(4):723-735. doi:10.1016/j.path.2021.06.012
4. Skeletal Lesions Interobserver Correlation among Expert Diagnosticians (SLICED) Study Group. Reliability of histopathologic and radiologic grading of cartilaginous neoplasms in long bones. J Bone Joint Surg Am. 2007;89(10):2113-2123. doi:10.2106/JBJS.F.01530
5. Moran D, Zadnik PL, Taylor T, et al. Maintenance of bowel, bladder, and motor functions after sacrectomy. Spine J. 2015;15(2):222-229. doi:10.1016/j.spinee.2014.08.445
6. Riggi N, Suvà ML, Stamenkovic I. Ewing's Sarcoma. Reply. N Engl J Med. 2021;384(15):1477-1478. doi:10.1056/NEJMc2102423
7. Cotterill SJ, Ahrens S, Paulussen M, et al. Prognostic factors in Ewing's tumor of bone: analysis of 975 patients from the European Intergroup Cooperative Ewing's Sarcoma Study Group. J Clin Oncol. 2000;18(17):3108-3114. doi:10.1200/JCO.2000.18.17.3108
8. Beal K, Allen L, Yahalom J. Primary bone lymphoma: treatment results and prognostic factors with long-term follow-up of 82 patients. Cancer. 2006 Jun 15;106(12):2652-6. doi: 10.1002/cncr.21930. PMID: 16700039.



