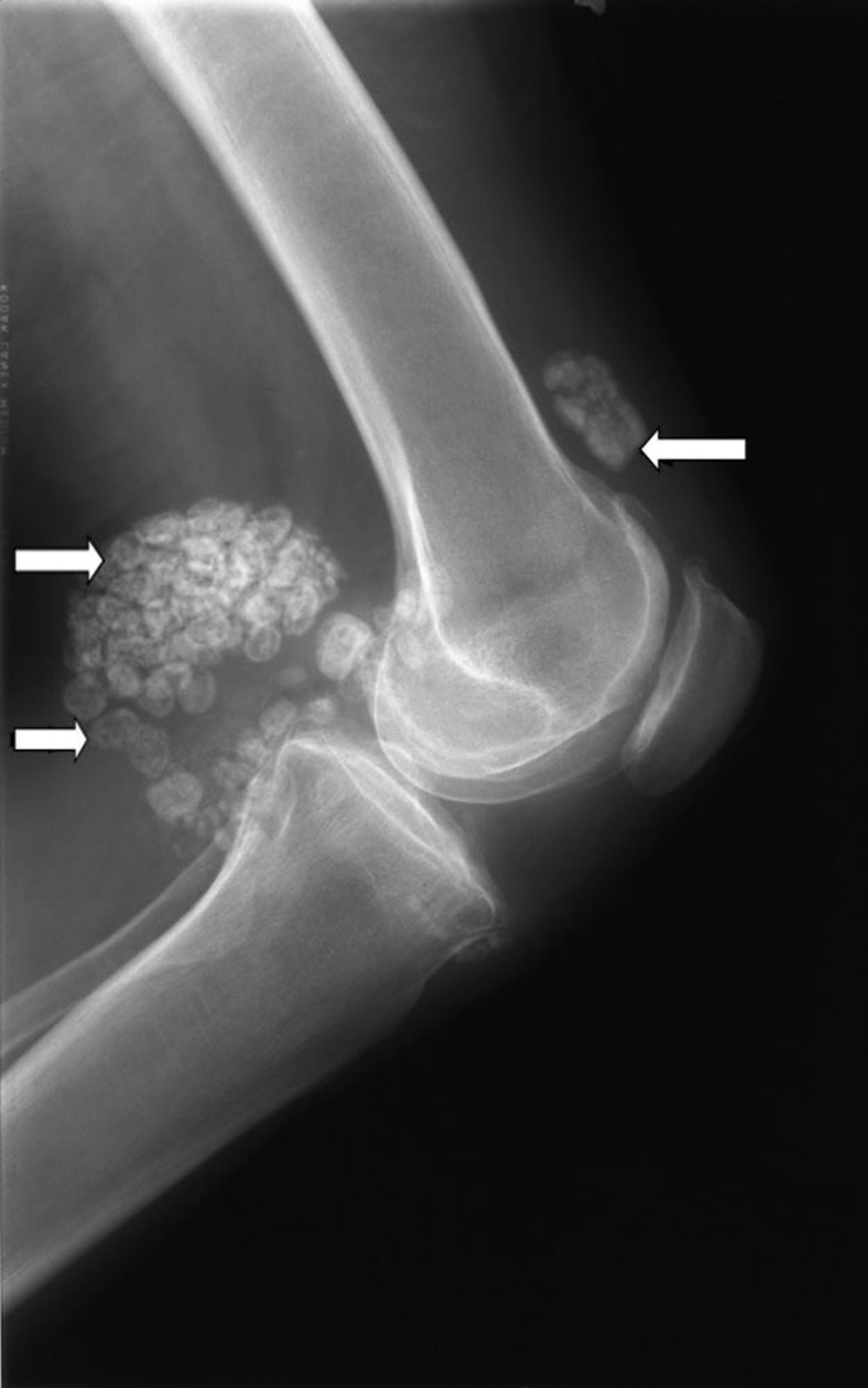
Chondromatose synoviale
Cette radiographie du genou montre plusieurs amas de cartilage (flèches), appelés chondromatose synoviale.
Image publiée avec l’aimable autorisation des Drs Michael J. Joyce et Hakan Ilaslan.
Dans ces sujets
Cette radiographie du genou montre plusieurs amas de cartilage (flèches), appelés chondromatose synoviale.
Image publiée avec l’aimable autorisation des Drs Michael J. Joyce et Hakan Ilaslan.