Chondromyxofibrome
Cette radiographie du genou montre un chondromyxofibrome (flèches) sur le tibia, juste en dessous du genou.
Image publiée avec l’aimable autorisation des Drs Michael J. Joyce et Hakan Ilaslan.
Dans ces sujets
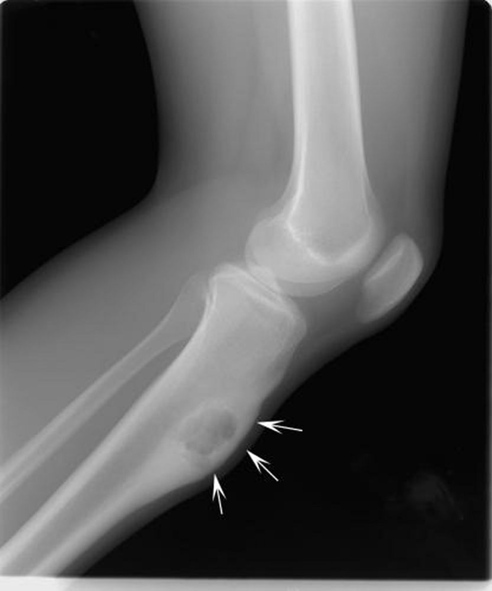
Cette radiographie du genou montre un chondromyxofibrome (flèches) sur le tibia, juste en dessous du genou.
Image publiée avec l’aimable autorisation des Drs Michael J. Joyce et Hakan Ilaslan.