honeypot link
skip to main content
MSDLe Manuel MerckVersion pour le grand public
SUJETS MÉDICAUX VIVRE EN BONNE SANTÉSYMPTÔMESURGENCESINFORMATIONS SUR LE MÉDICAMENTRESSOURCESCOMMENTAIREÀ PROPOS DE
homeSUJETS MÉDICAUX VIVRE EN BONNE SANTÉ
Search icon
  1. Accueil/
  2. Images/
  3. Déchirure de Mallory-Weiss/
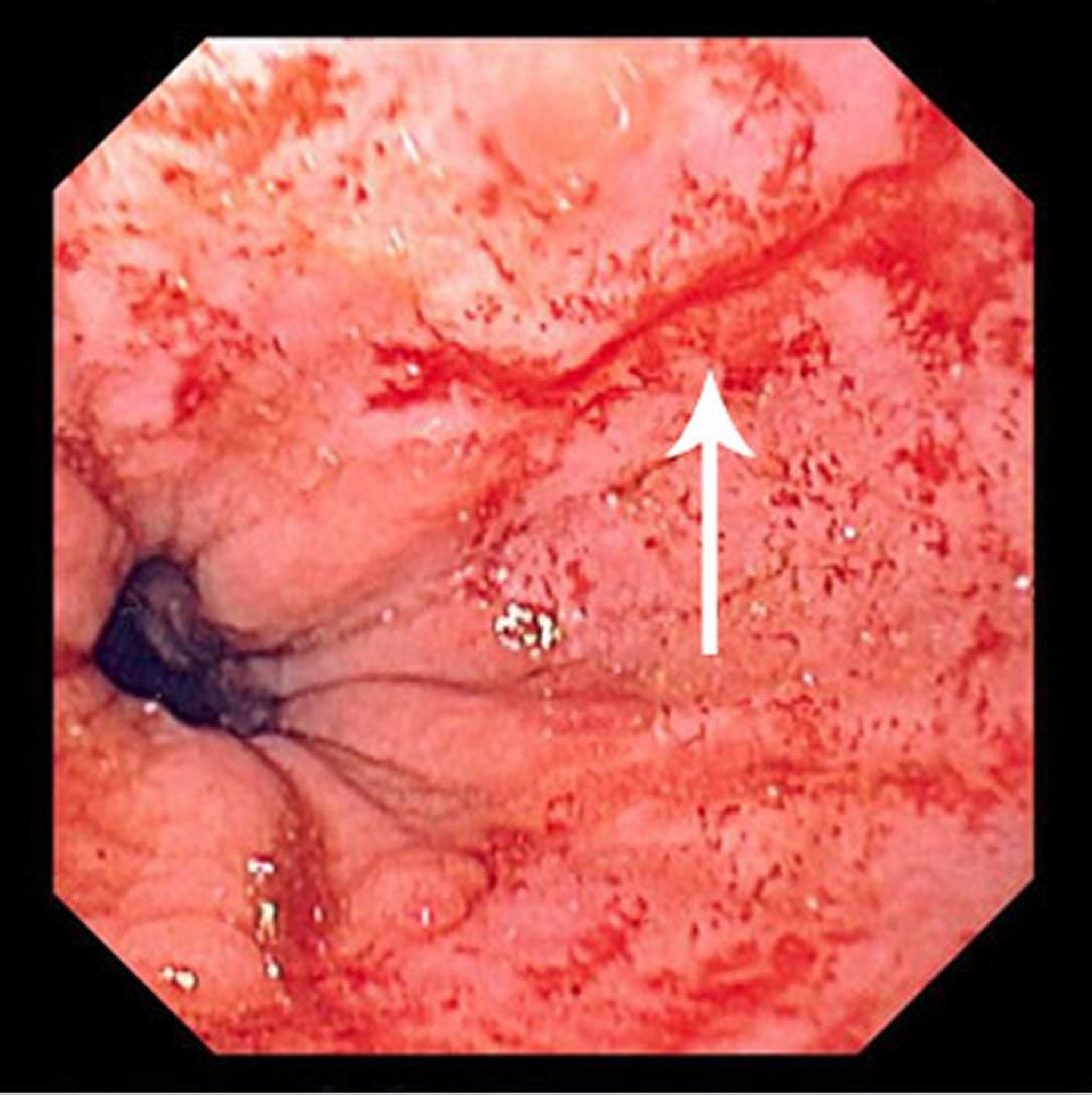
    Déchirure de Mallory-Weiss

    Déchirure de Mallory-Weiss

    Cette photographie montre une fine déchirure de Mallory-Weiss (flèche).

    Image fournie par le Dr David M. Martin.

    Dans ces sujets
    • Syndrome de Mallory-Weiss >
    MSD
    Merck et les Manuels Merck
    • À PROPOS DE
    • Clause de non-responsabilité
    • Autorisations
    • Protection des Renseignements Personnels
    • Cookie Preferences
    • Conditions d'utilisation
    • Attribution de licences
    • Contactez-nous
    • Manuel vétérinaire (disponible seulement en anglais)
    • APPLICATIONS MOBILES
    MSD

    Copyright© 2025Merck & Co., Inc., Rahway, NJ, États-Unis et ses sociétés affiliées. Tous droits réservés.