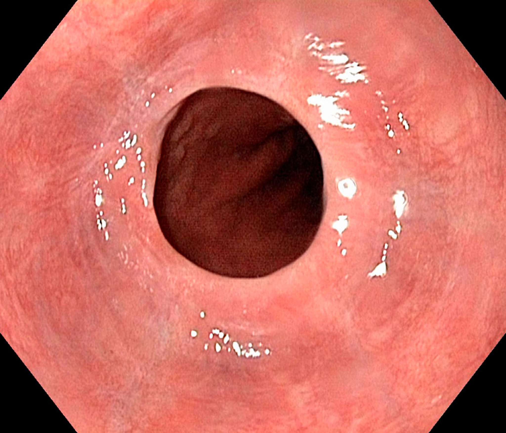
Diaphragme œsophagien
Cette photographie montre une fine membrane située en partie au-dessus d’une partie de l’ouverture de l’œsophage.
GASTROLAB/SCIENCE PHOTO LIBRARY
Dans ces sujets
Cette photographie montre une fine membrane située en partie au-dessus d’une partie de l’ouverture de l’œsophage.
GASTROLAB/SCIENCE PHOTO LIBRARY