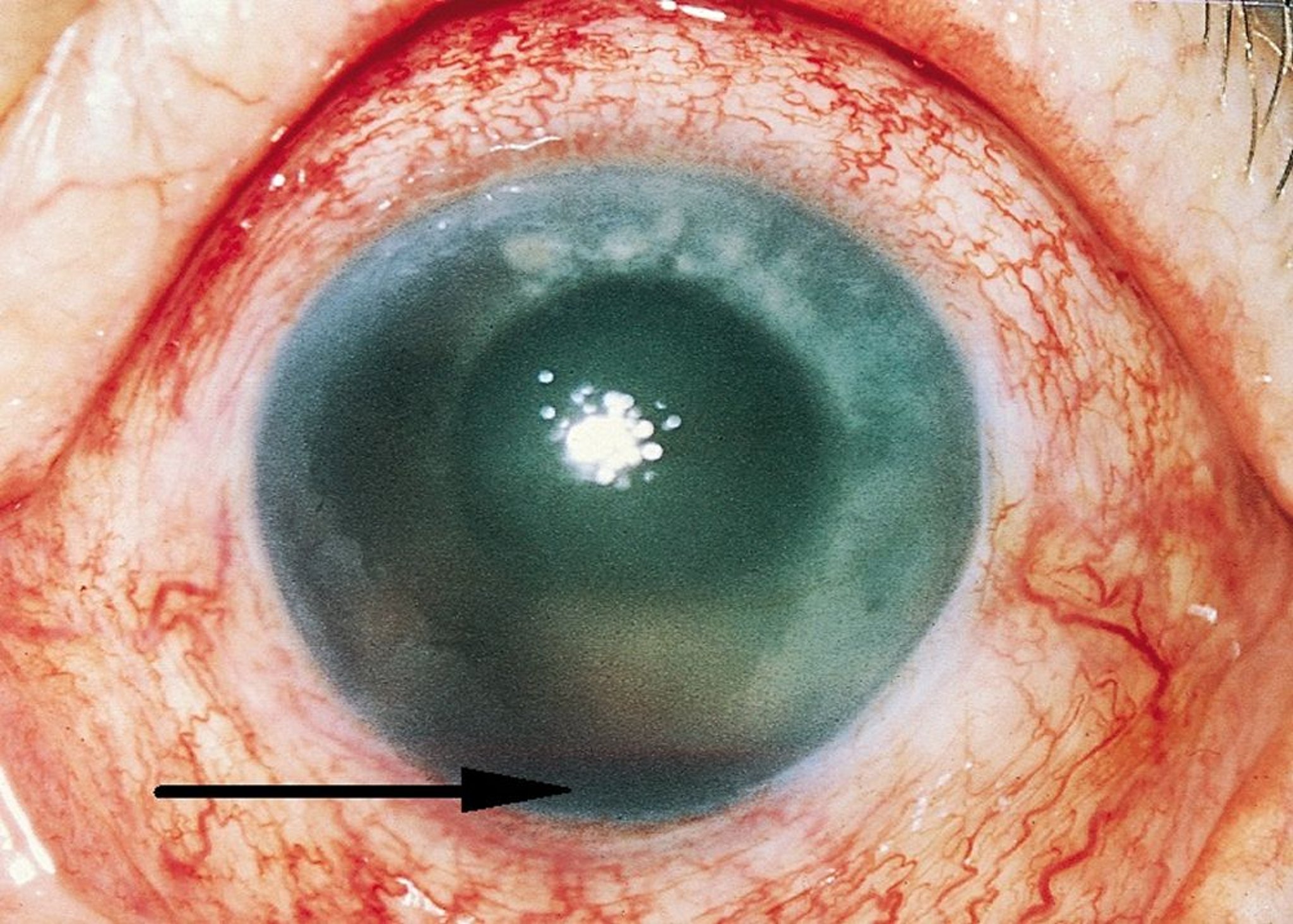
Hyphéma
Cette photo montre un hyphéma (flèche) et une rougeur de la fine muqueuse recouvrant la cornée (conjonctive).
© Springer Science+Business Media
Dans ces sujets
Cette photo montre un hyphéma (flèche) et une rougeur de la fine muqueuse recouvrant la cornée (conjonctive).
© Springer Science+Business Media