honeypot link
skip to main content
MSDLe Manuel MerckVersion pour le grand public
SUJETS MÉDICAUX VIVRE EN BONNE SANTÉSYMPTÔMESURGENCESINFORMATIONS SUR LE MÉDICAMENTRESSOURCESCOMMENTAIREÀ PROPOS DE
homeSUJETS MÉDICAUX VIVRE EN BONNE SANTÉ
Search icon
  1. <Images
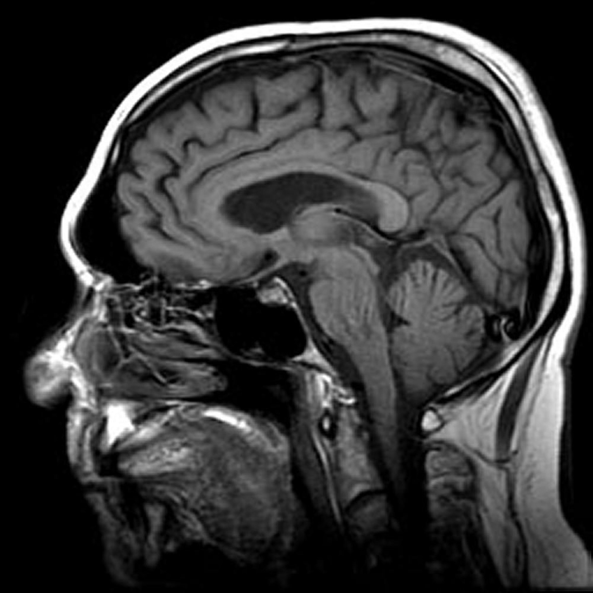
    Imagerie par résonance magnétique (IRM) du cerveau

    Imagerie par résonance magnétique (IRM) du cerveau

    Image fournie par le Dr Jon A. Jacobson.

    Dans ces sujets
    • Imagerie par résonance magnétique (IRM) >
    • Les faits en bref: Imagerie par résonance magnétique (IRM) >
    MSD
    Merck et les Manuels Merck
    • À PROPOS DE
    • Clause de non-responsabilité
    • Autorisations
    • Protection des Renseignements Personnels
    • Cookie Preferences
    • Conditions d'utilisation
    • Attribution de licences
    • Contactez-nous
    • Manuel vétérinaire (disponible seulement en anglais)
    • APPLICATIONS MOBILES
    MSD

    Copyright© 2025Merck & Co., Inc., Rahway, NJ, États-Unis et ses sociétés affiliées. Tous droits réservés.