Ostéochondrome du genou
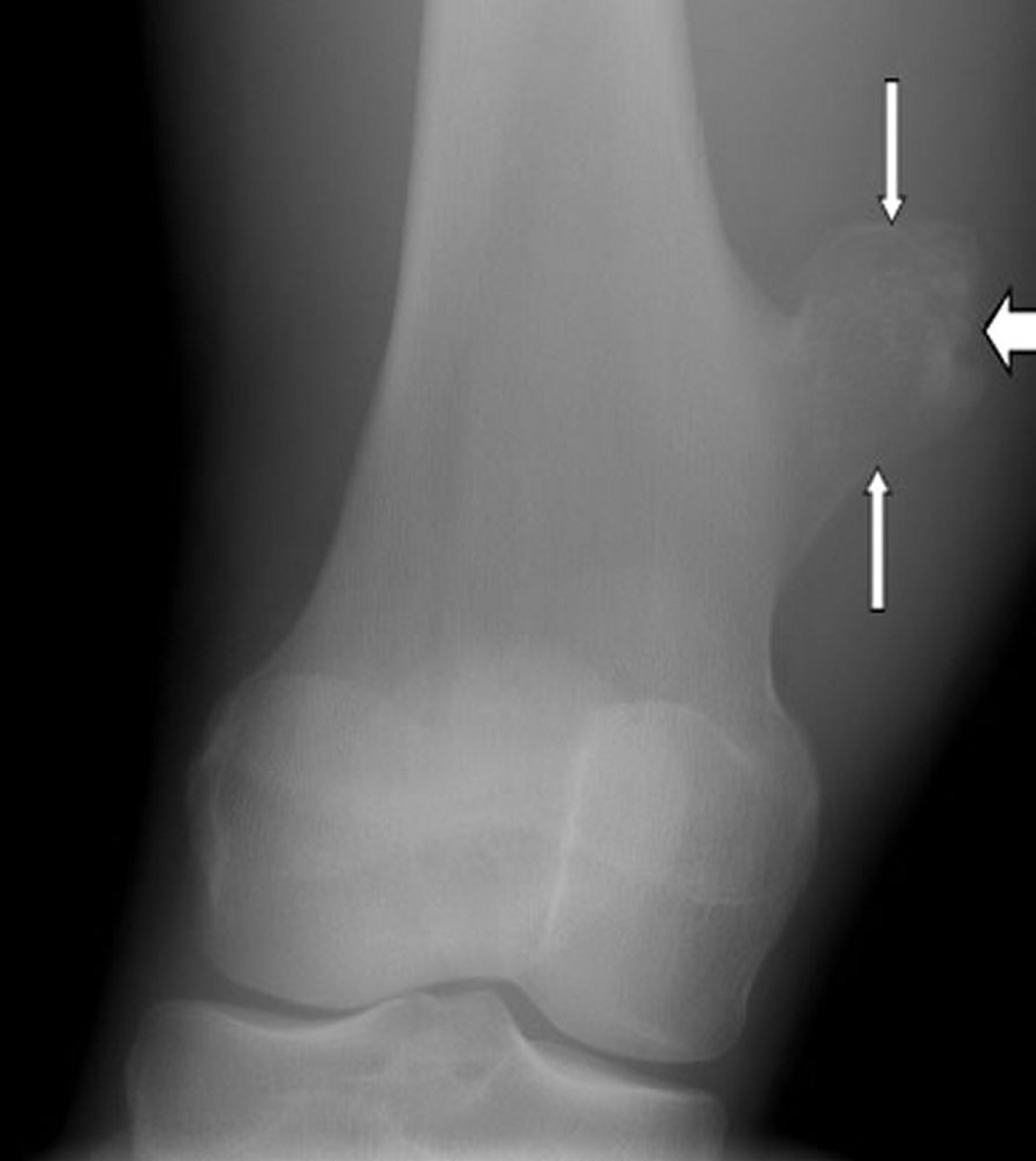
Cette radiographie du genou montre un ostéochondrome, l’excroissance située à la surface de l’os de la cuisse (flèches), juste au-dessus de l’articulation du genou.
Image publiée avec l’aimable autorisation des Drs Michael J. Joyce et Hakan Ilaslan.
Dans ces sujets
