Ostéosarcome
Cette radiographie du genou montre un ostéosarcome au niveau de l’os de la cuisse, au-dessus du genou.
Image publiée avec l’aimable autorisation des Drs Michael J. Joyce et Hakan Ilaslan.
Dans ces sujets
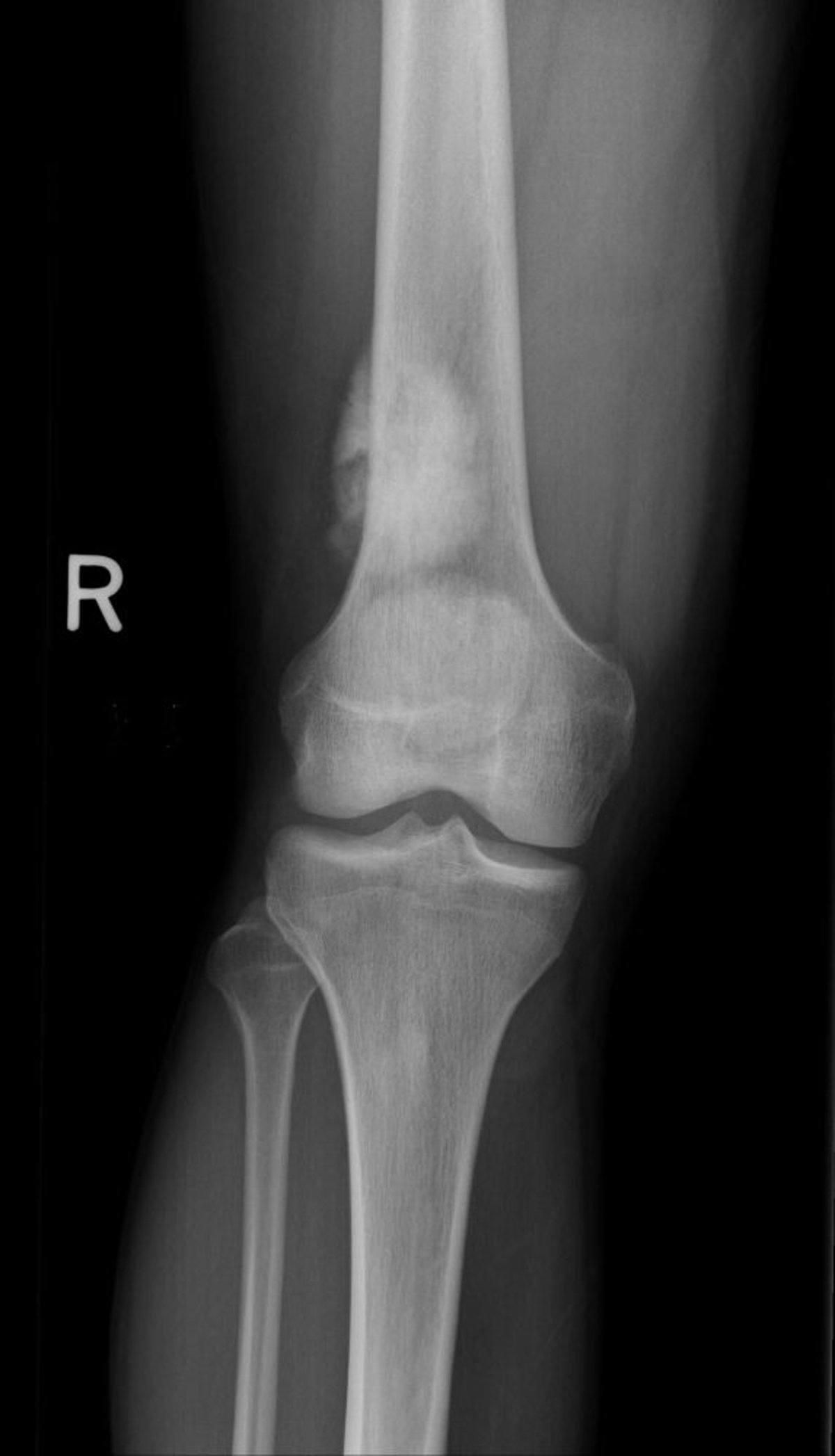
Cette radiographie du genou montre un ostéosarcome au niveau de l’os de la cuisse, au-dessus du genou.
Image publiée avec l’aimable autorisation des Drs Michael J. Joyce et Hakan Ilaslan.