Pustules
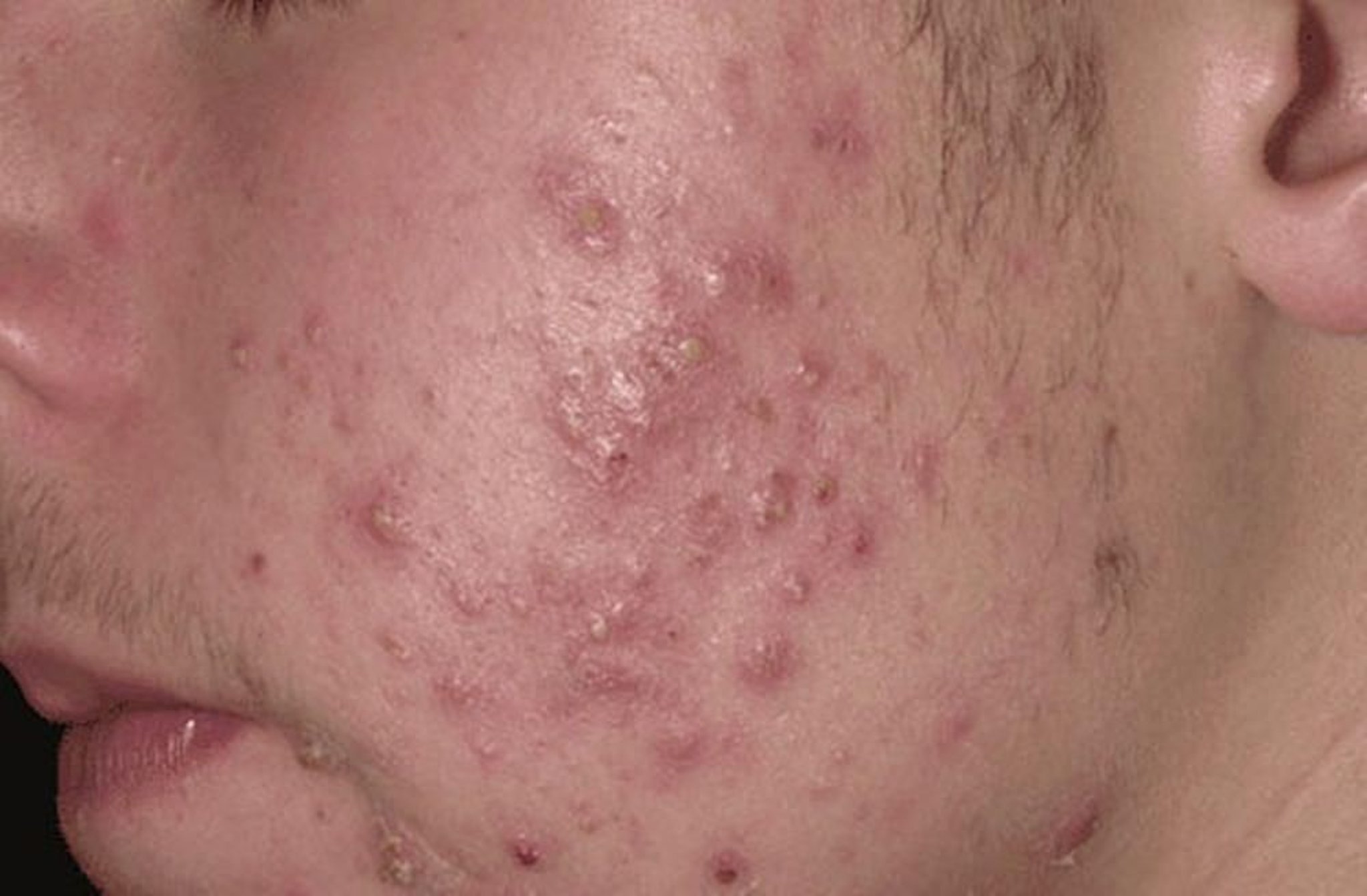
Les pustules sont des boutons en relief, habituellement avec une pointe jaune, contenant du pus. Des pustules diffuses apparaissent sur le visage de cette personne souffrant d’acné.
Photo fournie par le Dr Thomas Habif.
Les pustules sont des boutons en relief, habituellement avec une pointe jaune, contenant du pus. Des pustules diffuses apparaissent sur le visage de cette personne souffrant d’acné.
Photo fournie par le Dr Thomas Habif.