Radiographie du poignet
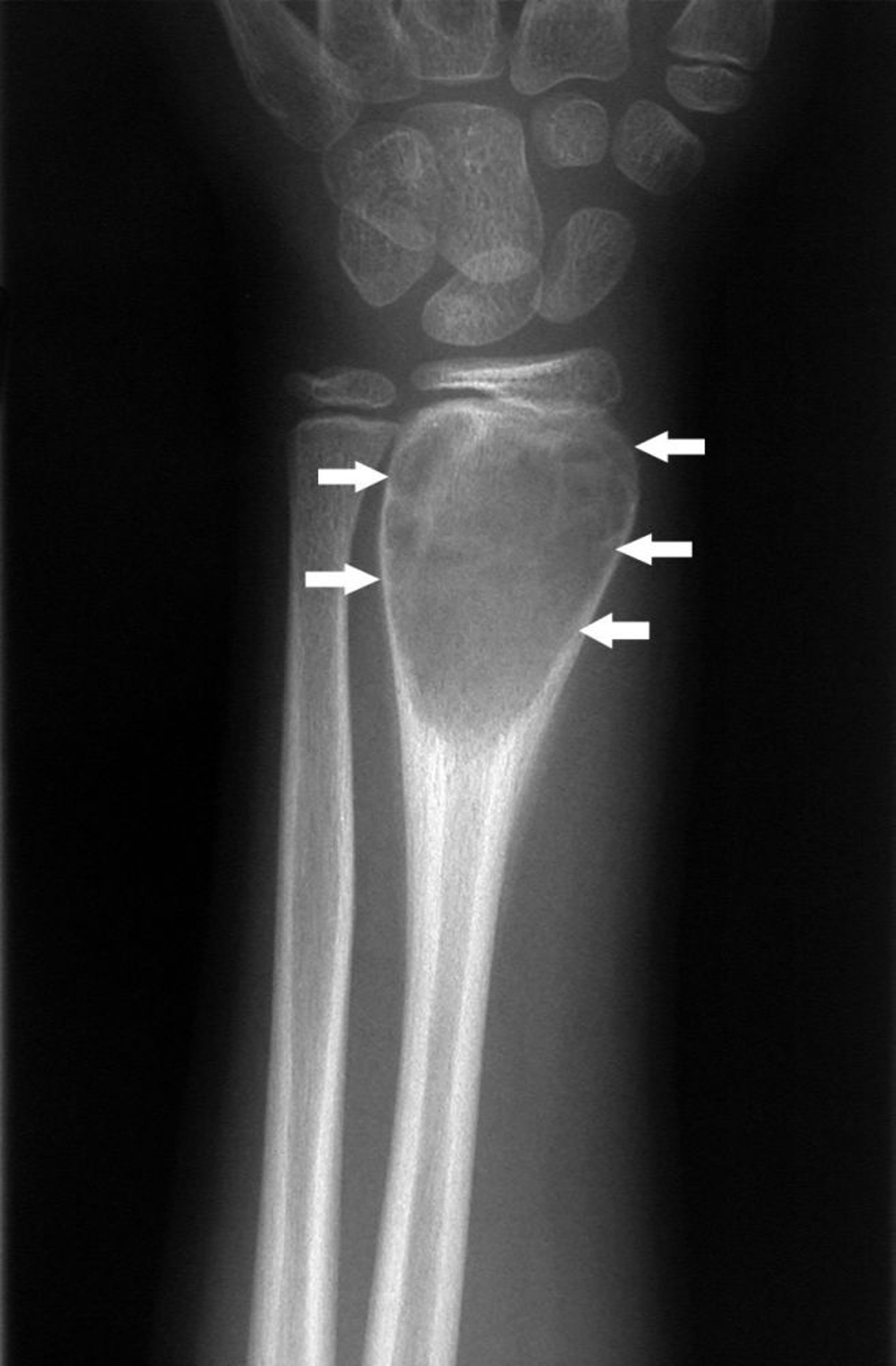
Cette radiographie du poignet montre un kyste osseux qui entraîne une hypertrophie de l’extrémité de l’os (flèches).
Image publiée avec l’aimable autorisation des Drs Michael J. Joyce et Hakan Ilaslan.
Dans ces sujets
Cette radiographie du poignet montre un kyste osseux qui entraîne une hypertrophie de l’extrémité de l’os (flèches).
Image publiée avec l’aimable autorisation des Drs Michael J. Joyce et Hakan Ilaslan.