Échodoppler couleur
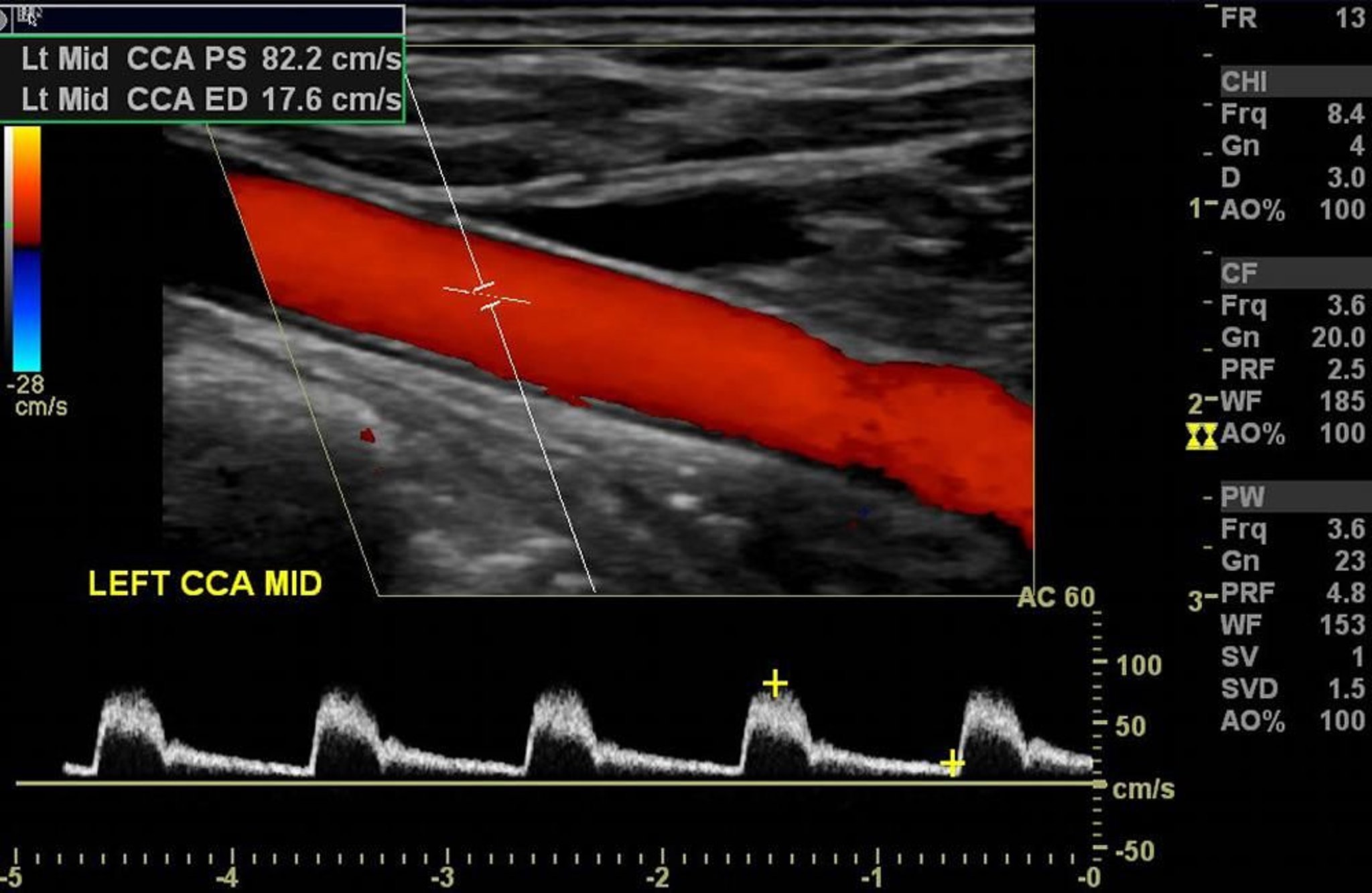
L'échodoppler couleur de l'artère carotide gauche montre un flux artériel normal sans sténose significative.
Image courtoisie de Hakan Ilaslan, MD.
Dans ces sujets
L'échodoppler couleur de l'artère carotide gauche montre un flux artériel normal sans sténose significative.
Image courtoisie de Hakan Ilaslan, MD.