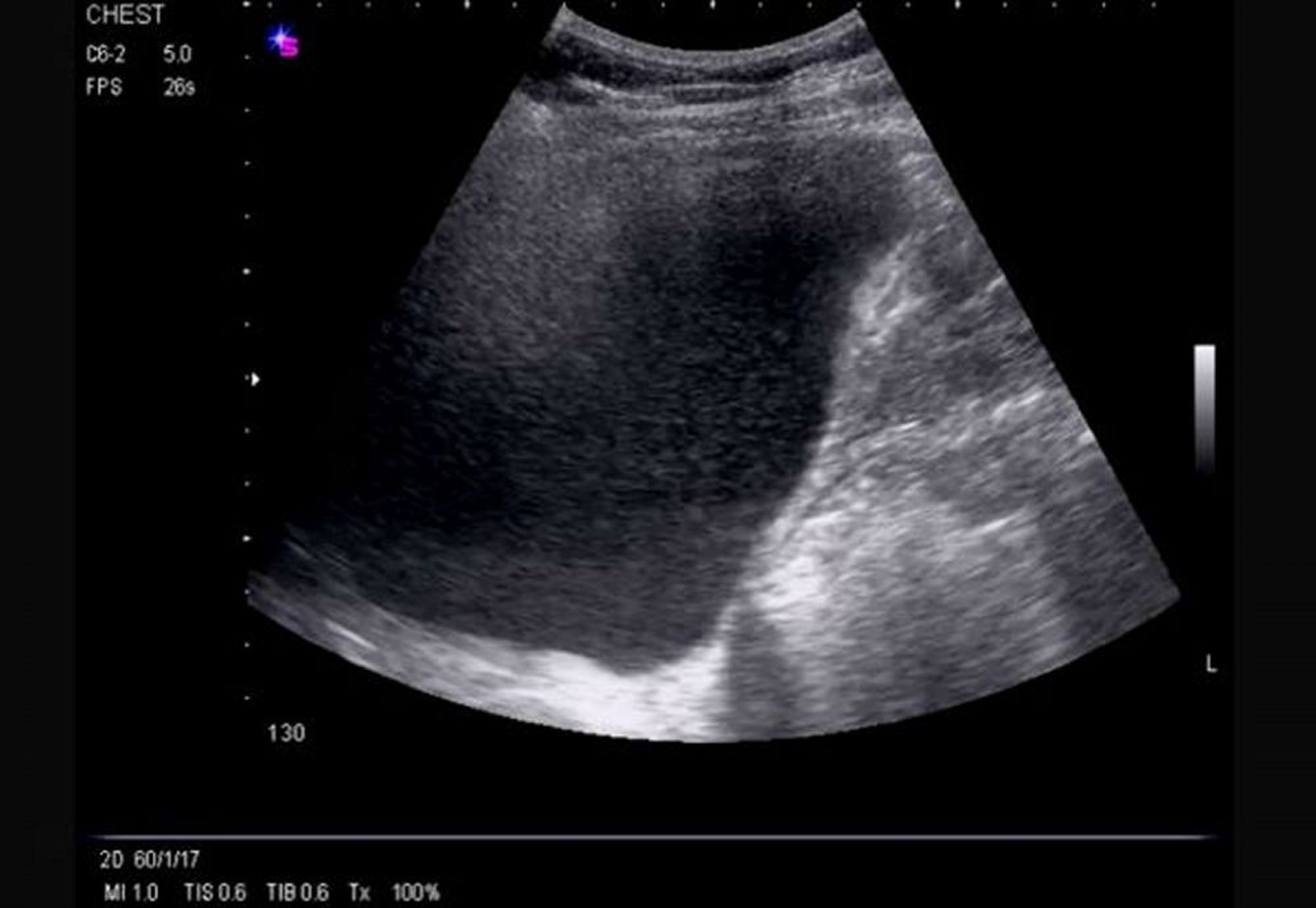
Échographie thoracique de profil (droite)
Cette échographie montre un épanchement massif, droit, à écoulement libre provoquant l'inversion de l'hémidiaphragme et démontrant une échogénicité.
Image courtoisie de Najib M. Rahman, BMBCh MA (oxon) DPhil.
Dans ces sujets
