honeypot link
skip to main content
Professionnels de la santé
Grand public
Le Manuel Merck
Version pour professionnels de la santé
SUJETS MÉDICAUX
RESSOURCES
COMMENTAIRE
PROCÉDURES ET EXAMENS
QUESTIONNAIRES
À PROPOS DE
SUJETS MÉDICAUX
RESSOURCES
<
Images
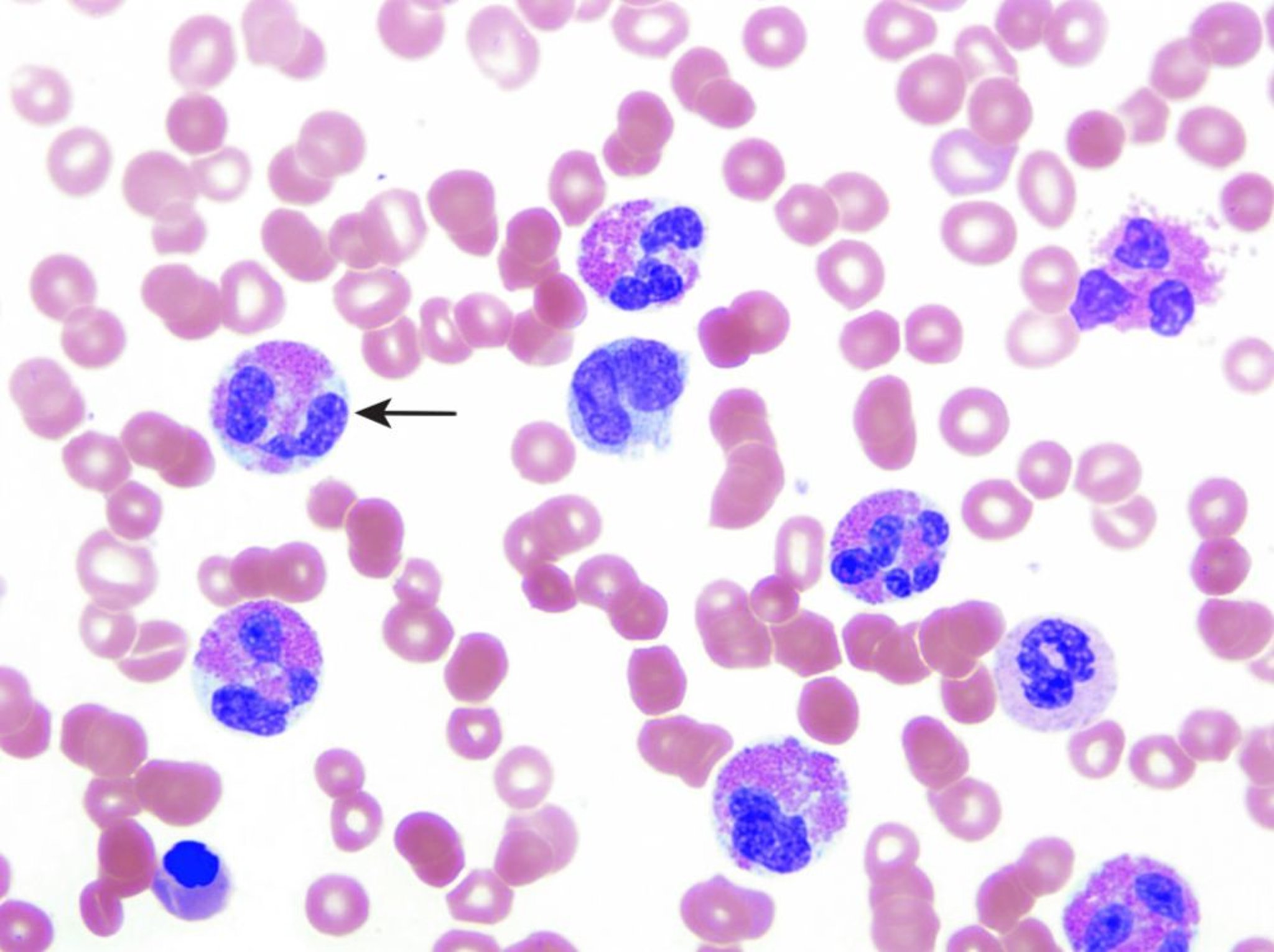
Éosinophilie (frottis de sang périphérique)
Cette image montre des cellules éosinophiles (flèche).
© Springer Science+Business Media
Dans ces sujets
Éosinophilie
>