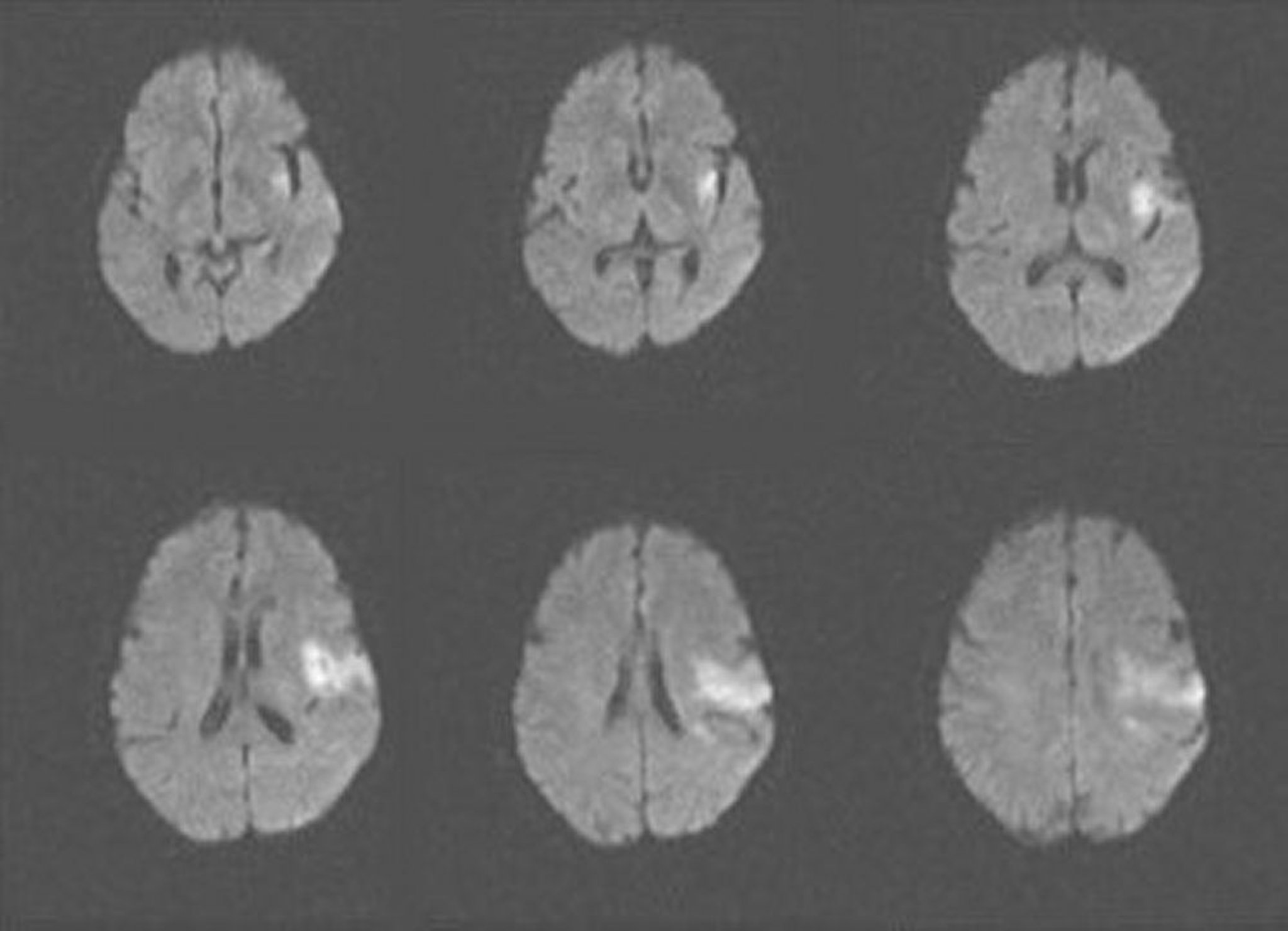
Accident vasculaire cérébral ischémique aigu (IRM)
Cette IRM montre une zone de diffusion restreinte compatible avec un accident vasculaire cérébral ischémique aigu des lobes insulaires et frontaux gauches.
Image courtoisie de Ji Y. Chong, MD.
Dans ces sujets
