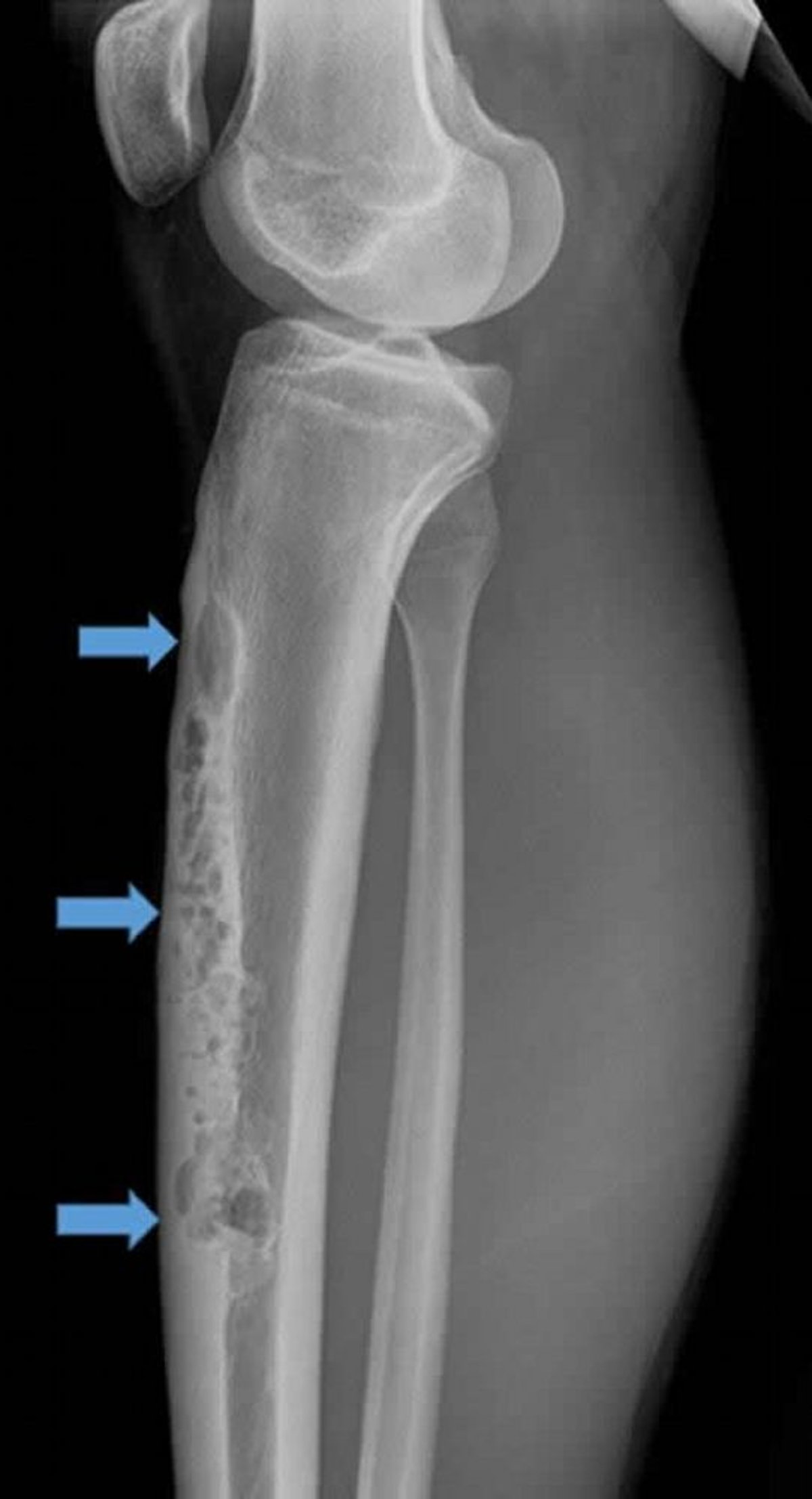
Adamantinome
Cette radiographie latérale du tibia droit montre un volumineux adamantinome intracortical antérieur (flèches). Noter l'aspect perméatif et ostéolytique en « bulles de savon ».
Image courtoisie de Michael J. Joyce, MD, and Hakan Ilaslan, MD.
Dans ces sujets
