Angio-TDM (vue coronale) du thorax montrant l'aorte thoracique ascendante
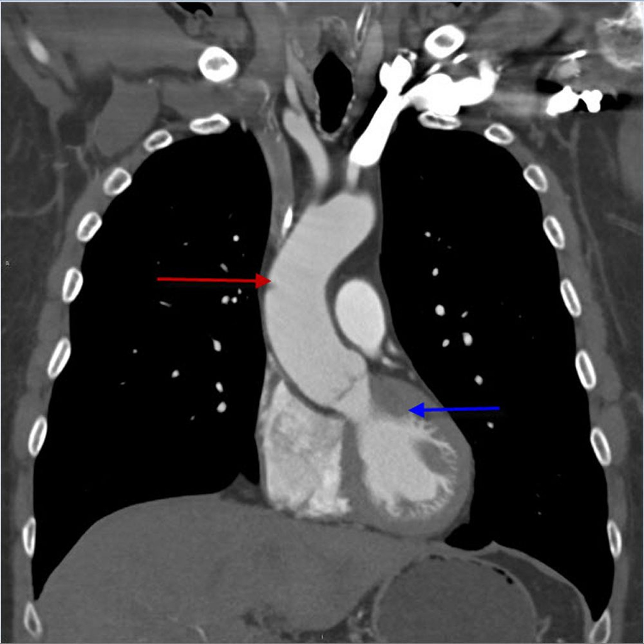
Cette image montre l'aorte thoracique ascendante (flèche rouge) provenant du ventricule gauche (flèche bleue).
© 2017 Elliot K. Fishman, MD.
Dans ces sujets
Cette image montre l'aorte thoracique ascendante (flèche rouge) provenant du ventricule gauche (flèche bleue).
© 2017 Elliot K. Fishman, MD.