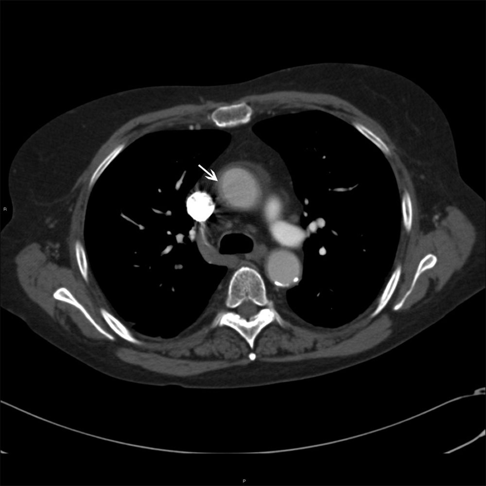
Aorte ascendante chez un patient atteint d'artérite de Takayasu
Cette photo montre un épaississement mural (flèche blanche) de l'aorte ascendante chez un patient atteint d'artérite de Takayasu.
© 2017 Elliot K. Fishman, MD.
Dans ces sujets
Cette photo montre un épaississement mural (flèche blanche) de l'aorte ascendante chez un patient atteint d'artérite de Takayasu.
© 2017 Elliot K. Fishman, MD.