Appendicite aiguë
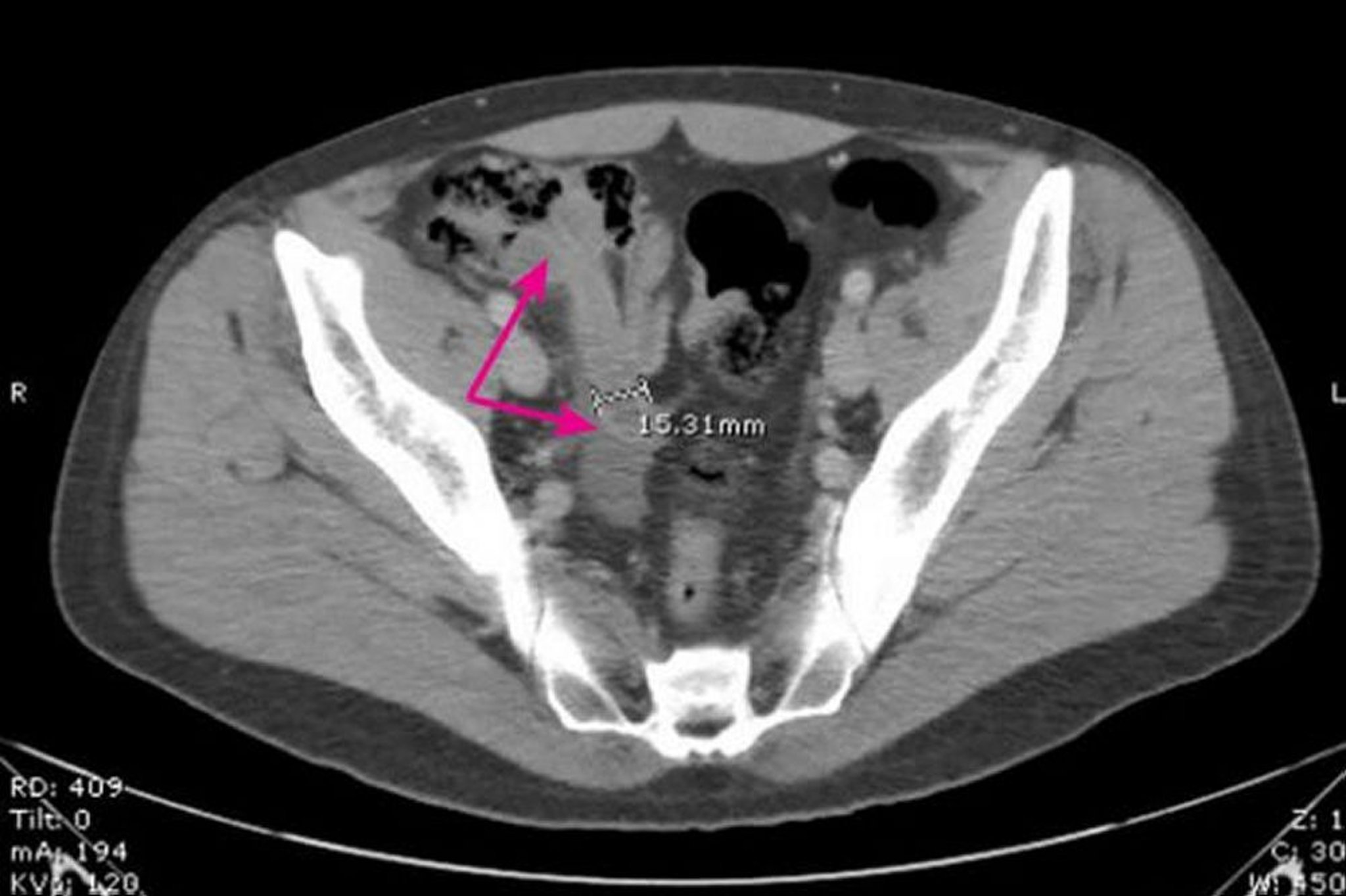
Cette image montre un appendice dilaté, à paroi épaissie (flèches) mesurant 15,31 mm de diamètre avec des modifications inflammatoires environnantes.
Image provided by Parswa Ansari, MD.
Dans ces sujets
Cette image montre un appendice dilaté, à paroi épaissie (flèches) mesurant 15,31 mm de diamètre avec des modifications inflammatoires environnantes.
Image provided by Parswa Ansari, MD.