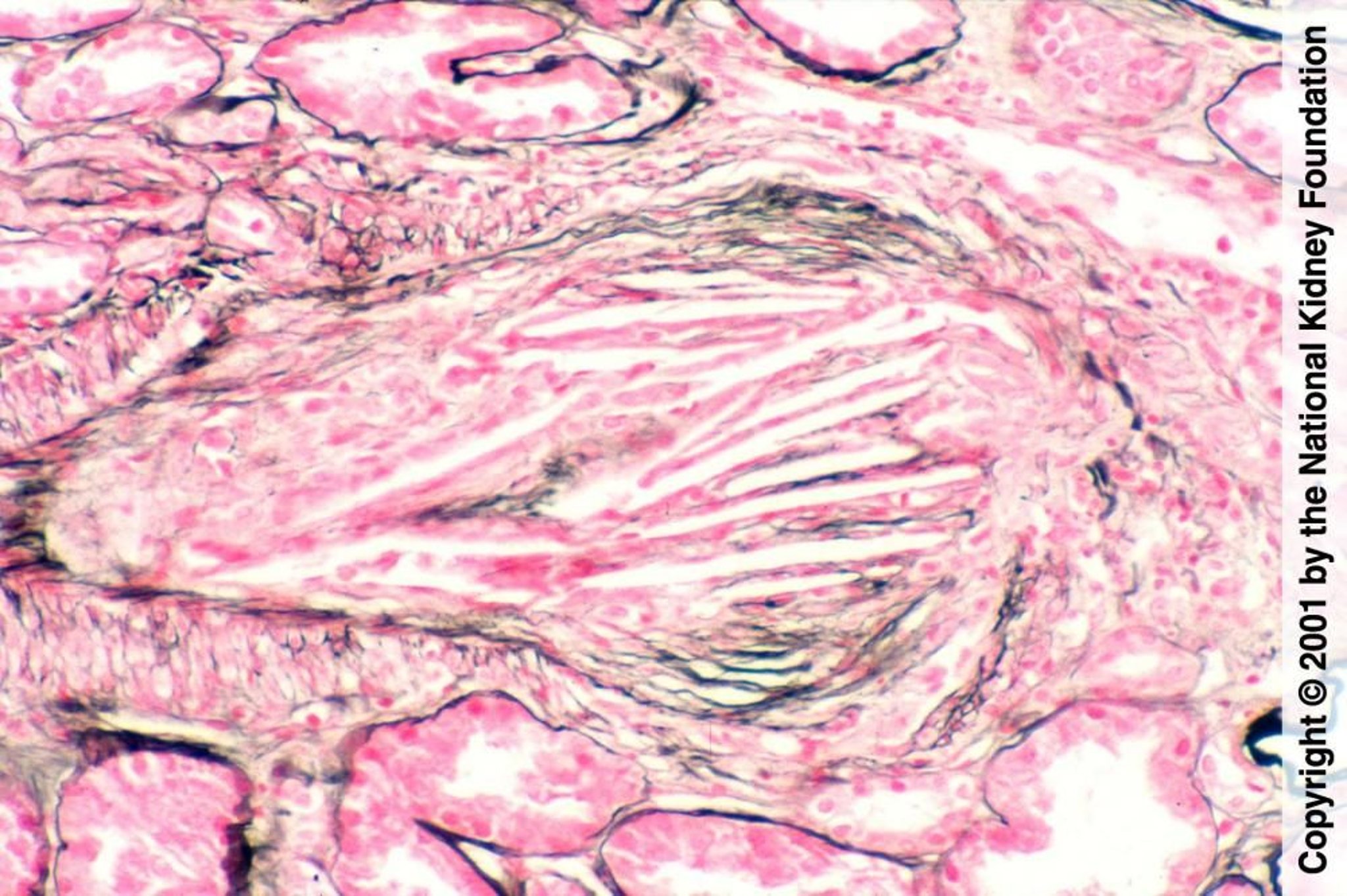
Athéroembolisme rénal
Les athérosemboles rénaux se dissolvent lors de la fixation des tissus, laissant des fentes biconcaves en forme d'aiguille dans les vaisseaux de 100 à 200 microns de diamètre (coloration de Jones à l'argent, × 200).
Image fournie par Agnes Fogo, MD, and the American Journal of Kidney Diseases' Atlas of Renal Pathology (voir www.ajkd.org).
Dans ces sujets
