Cancer du col de l'utérus
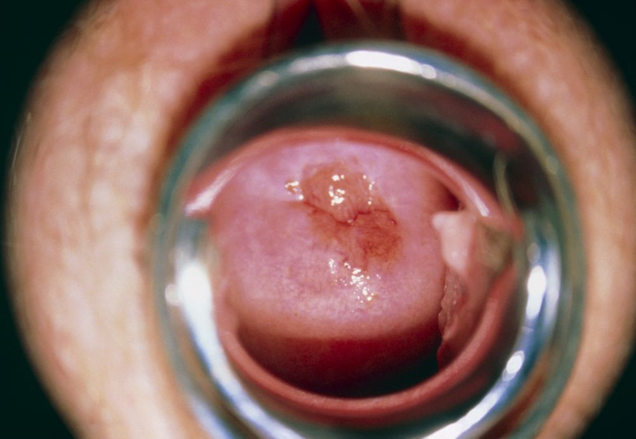
Colposcopie d'un col de l'utérus (centre) chez une patiente présentant une néoplasie cervicale intraépithéliale (CIN) 1. La zone précancéreuse affectée est légèrement gonflée avec une zone de coloration anormale autour de l'orifice cervical au centre.
SCIENCE PHOTO LIBRARY
Dans ces sujets
